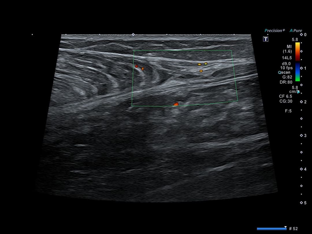
Evolution cicatricielle d'un tennis leg
US
Échographie

Bilan lésionnel initial montrant une rupture de la continuité du prolongement aponévrotique libre du muscle gastrocnémien médial

A 1 mois, hématome interaponévrotique ayant nécessité d'une ponction échoguidée

A 3 mois, développement d'un fibre cicatriciel, patient asymptomatique.