Fracture du radius chez l'enfant
RX
Présentation clinique
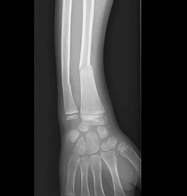
Traumatisme du membre supérieur droit en jouant au football suite à une chute sur la paume de la main.
Radiographie
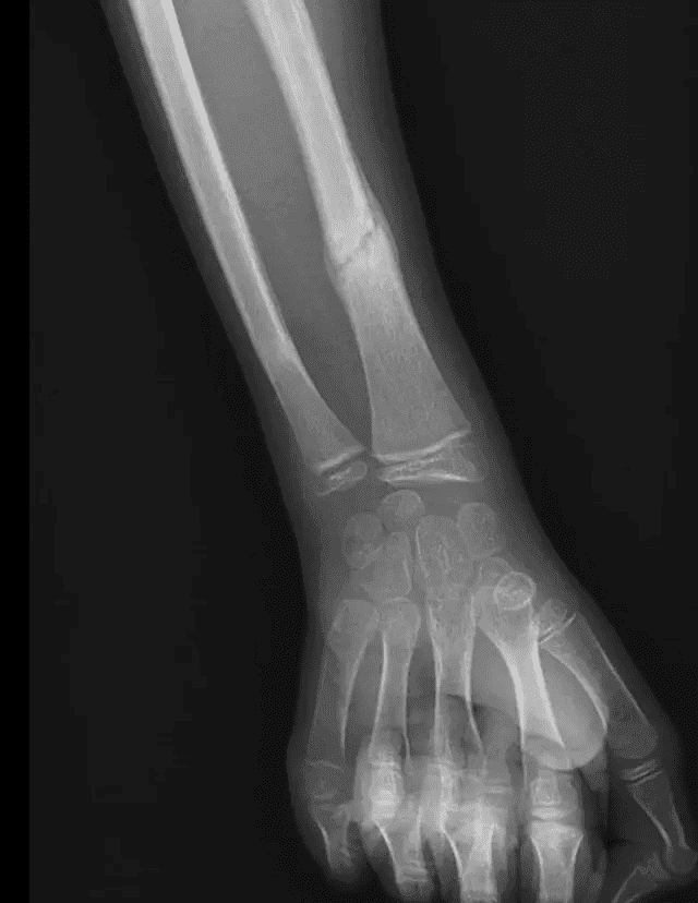
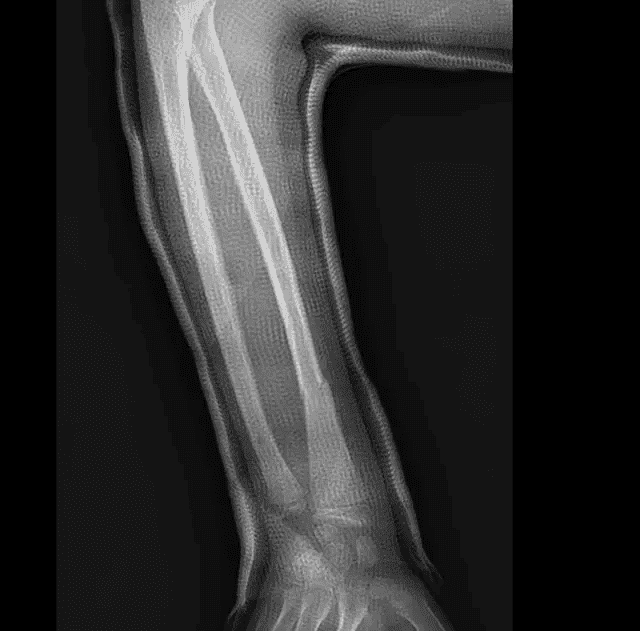
Suivi évolutif de la fracture du radius à 15 jours d'intervalle avec constitution d'un cal osseux à 1 mois sans déplacement secondaire associé.

Radiographie initiale

Suivi à 1 mois

Suivi à 2 semaines
Conclusion
Traitement orthopédique par plâtre pendant 2 semaines
