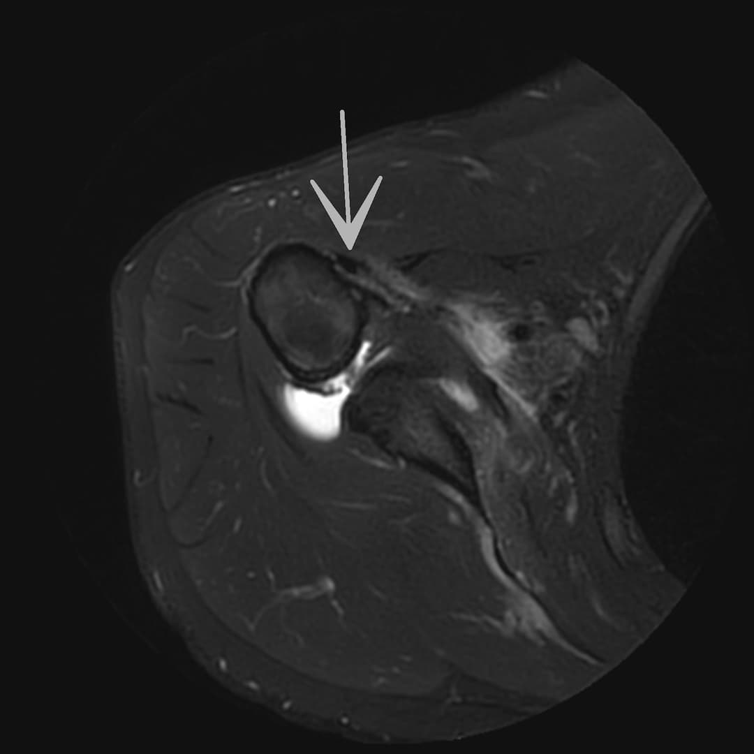
Rupture du tendon sous-scapulaire
MRIRX
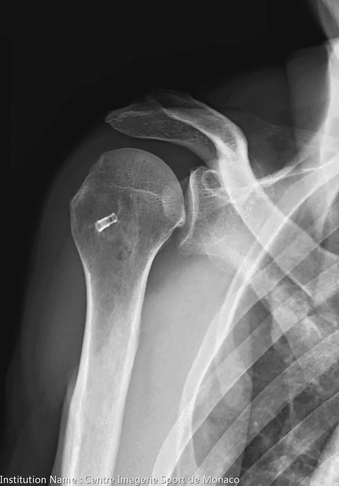
Radiographie
Discrète atteinte dégénérative de l'articulation gléno-humérale.
Pas d'ascension de la tête humérale

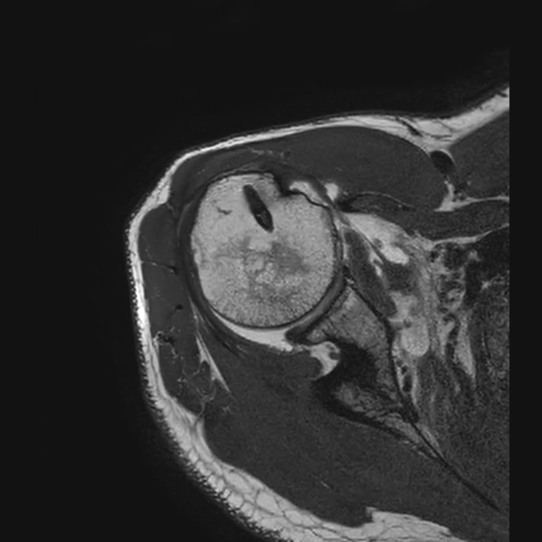
IRM
Ténodèse du long biceps intacte. Tendons sus et sous épineux respectés. Large diffusion du contraste depuis compartiment articulaire vers la BSAD.
Rupture du tendon sous-scapulaire avec rétraction grade II-III





