
Variante anatomique du tendon du muscle petit pectoral.
US

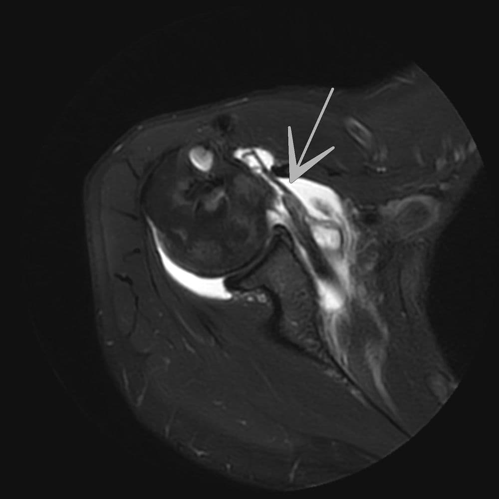
Scapulalgie droite non traumatique en lien avec une lésion dégénérative partielle de la coiffe des rotateurs.
US

Antécédent de ténodèse du long biceps il y a 10 ans. Douleurs post traumatiques. Réévaluation lésionnelle
MRIRX

Lésion traumatique brutale de la portion intra articulaire du biceps de l'épaule droite
MRI

Lésion myotendineuse 1b (BAMIC) du sous scapulaire chez une basketteuse
MRI

Cas d'une résorption calcique aigue du tendon sous-scapulaire
US