Languette méniscale instable
MRI
IRM
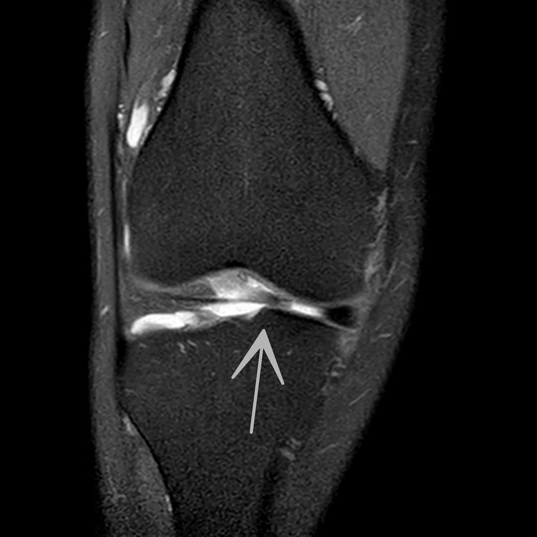
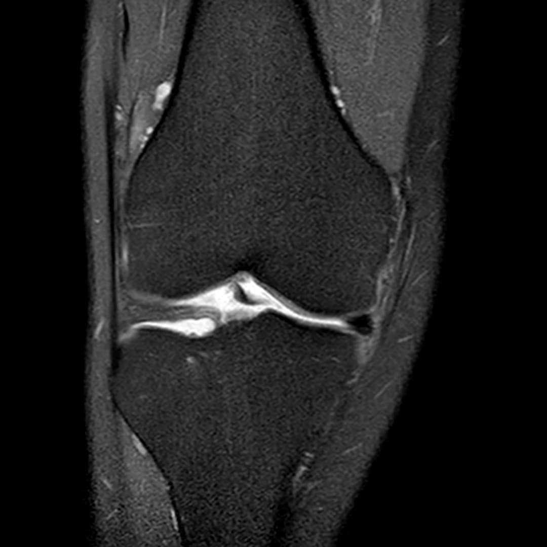
Fissure de grade 3 du segment moyen du ménisque médial.
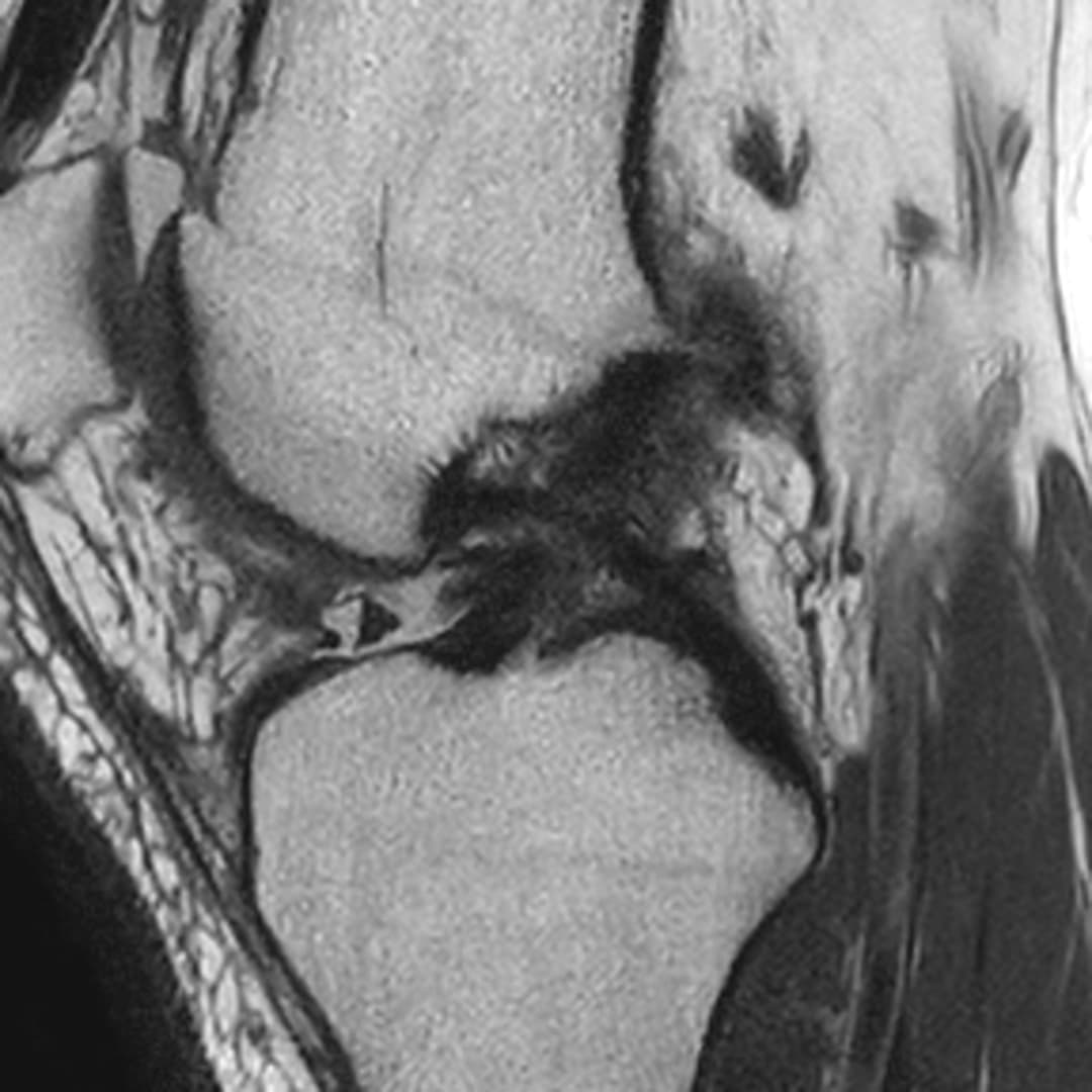
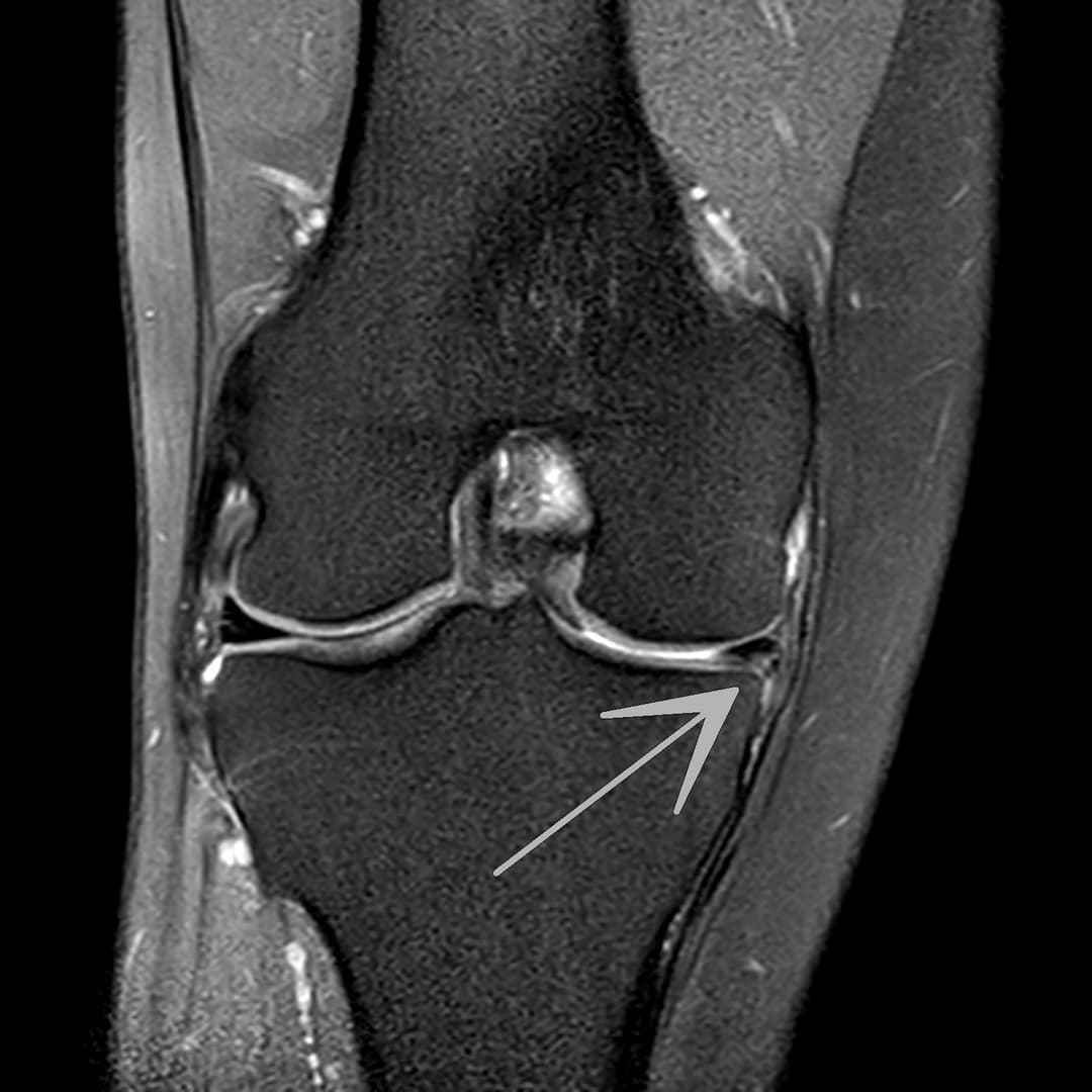
Languette méniscale rattachée à la corne antérieure du ménisque médial avec aspect flottant sur le versant antérieur de l'échancrure.











Fissure de grade 3 du segment moyen du ménisque médial.
Languette méniscale rattachée à la corne antérieure du ménisque médial avec aspect flottant sur le versant antérieur de l'échancrure.










