Tumeur bénigne adipeuse rare souvent de découverte fortuite.
MRI
MRI

Ostéochondrose apophysaire proximale du tendon patellaire chez un adolescent de 15 ans pratique le basket.
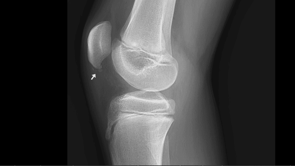
RX

Gonalgie antérieure post traumatique traînante sans notion de pratique de sport de saut.
US

Basketteur professionnel asymptomatique, découverte fortuite d'une séquelle de "Jumper's Knee".
US

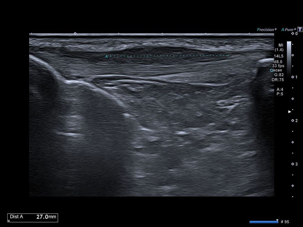
Gonalgie antérieure persistante à type de crise intermittente non prévisible ainsi que lors du passage en position accroupie.
US

Aspect échographique d'une rupture du kyste poplité de Baker.
US

Douleurs et craquements, contexte post traumatique
MRI

Traumatisme sportif d'un jeune patient
MRI

Traumatisme du genou au football sans contact
MRI

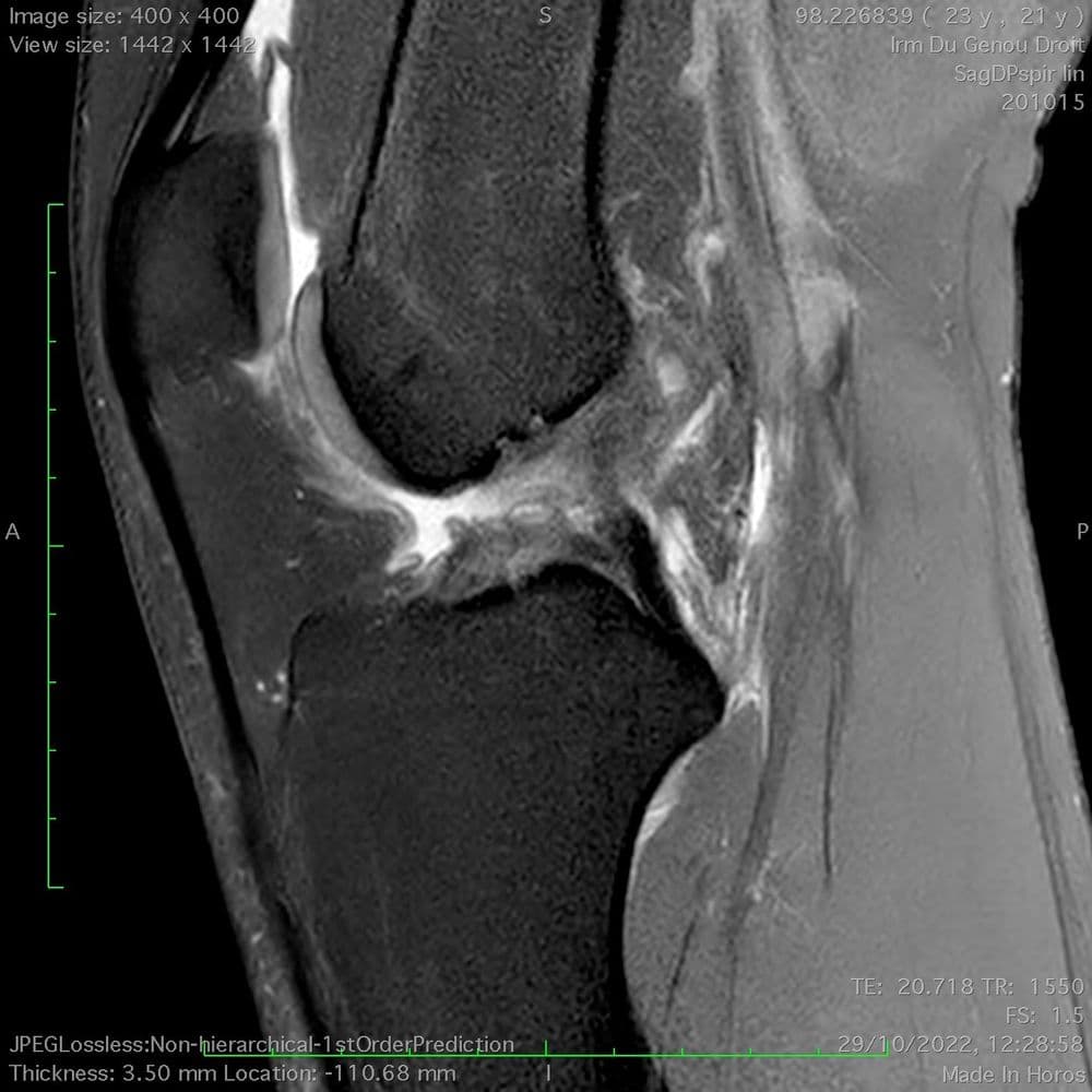
Patient de 33 ans, douleurs antérieures chroniques avec gonflement. Aspect IRM d'une enthésopathie proximale du tendon patellaire.
MRI

Rupture partielle du ligament croisé postérieur chez un joueur de rugby
MRI

Apport de l'arthroscanner dans la recherche de fissure méniscale en complément de l'IRM
MRICT
Rupture partielle du ligament croisé antérieur aux dépens du faisceau antéro-médial, avec aspect continu du faisceau postéro-latéral.
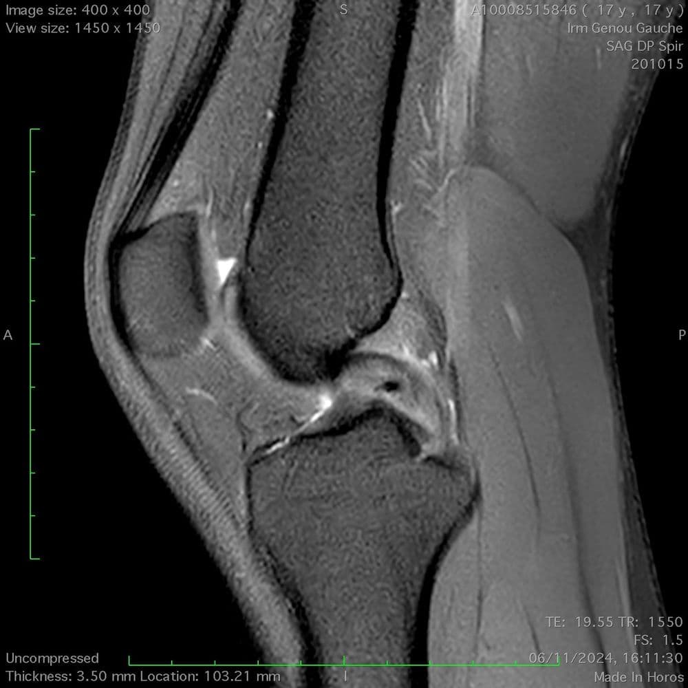
MRI

Désinsertion capsulo méniscale latérale chez un jeune sportif de 17 ans.
CT