Rachis
Epaule
Coude
Poignet
Main et doigts
Hanche et inguinal
Genou
Cheville
Pied
Muscle
Nerf
Parties molles
Interventionnel
RADIOSTEO.COM
RADIOSTEO.COM
  1. Accueil
  2. Genou
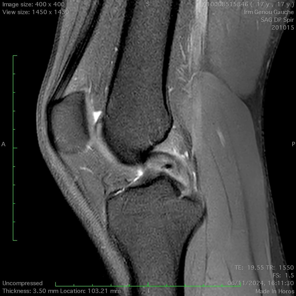
  3. Rupture partielle du ligament croise posterieur

Rupture partielle du ligament croise posterieur

Rupture partielle du ligament croisé postérieur
genou
Rupture partielle du ligament croisé postérieur

Rupture partielle du ligament croisé postérieur chez un joueur de rugby

MRI

CHPG - Centre Hospitalier Princesse GraceCHPGCIMM - Centre d'Imagerie Médicale de MonacoC.I.M.MCIMMCISM - Centre d'Imagerie du Sport de MonacoCISMIM2S - Institut Monégasque de Médecine et de SportIM2S