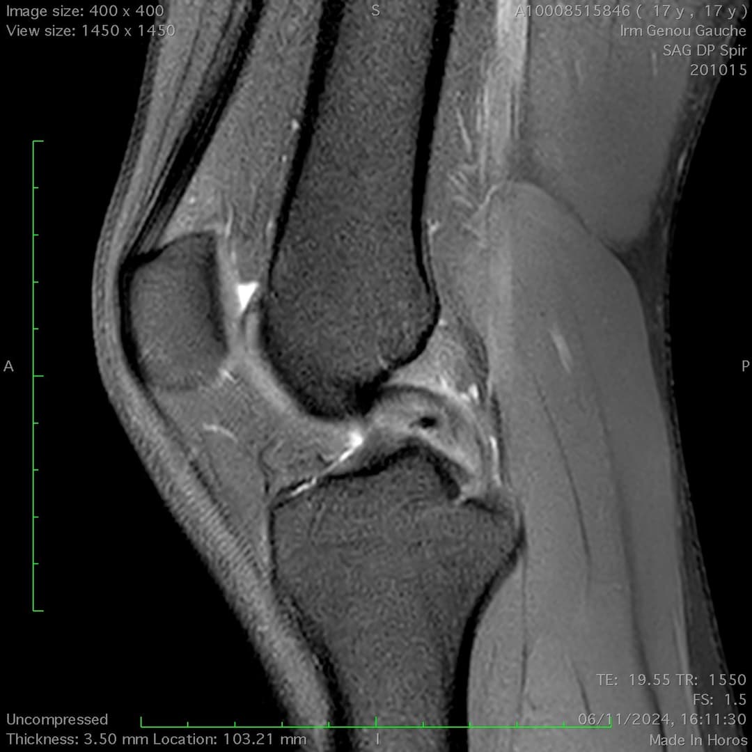
Rupture partielle du ligament croisé postérieur
MRI
IRM
Lésion traumatique partielle du ligament croisé postérieure avec atteinte traumatique inférieure à 50% des fibres ligamentaires, notamment du corps et de l'enthèse rétro-tibiale.

Lésion traumatique partielle du ligament croisé postérieure avec atteinte traumatique inférieure à 50% des fibres ligamentaires, notamment du corps et de l'enthèse rétro-tibiale.
