Maladie de Sinding-Larsen-Johansson
Présentation clinique
Gonalgie antérieure infra patellaire chronique bilatérale chez un adolescent de 15 ans pratique de manière intensive le basketball.
Radiographie
Classification
Medlar et Lyne ont proposé une classification en 4 stades basée sur l'apparence radiographique :
Stade I : Apparence normale de la rotule
Stade II : Calcifications irrégulières au pôle distal
Stade III : Coalescence des calcifications
Stade IV-a : Calcifications fusionnant avec le pôle distal
Stade IV-b : Ossicule calcifié distinct du pôle distal 4

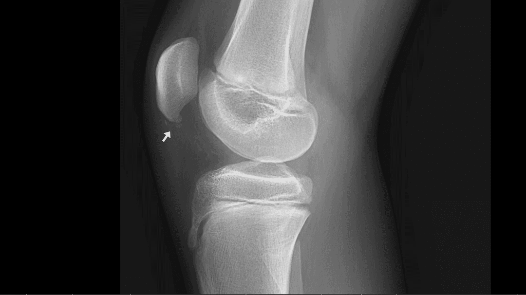
Calcifications irrégulières au pôle distal en lien avec une ostéochondrose de Sinding-Larsen-Johansson au Stade II de la classification radiologique de Medlar et Lyne
Description
La maladie de Sinding-Larsen-Johansson est une ostéochondrose juvénile affectant l'enthèse proximale du tendon patellaire, au pôle inférieur de la patella.
Épidémiologie
La SLJD touche principalement les adolescents physiquement actifs, âgés de 9 à 17 ans, avec une prédominance masculine.
Elle est considérée comme une pathologie rare .
Présentation clinique
Les symptômes typiques incluent :
- Douleur localisée à la face antérieure du genou, aggravée par l'activité physique
- Gêne lors de la montée des escaliers, la marche prolongée, la course et les sauts
- Possible gonflement localisé
- Limitation de l'amplitude articulaire du genou dans les cas avancé
Examen clinique
L'examen physique révèle généralement :
- Une sensibilité à la palpation du pôle inférieur de la rotule
- Une possible douleur à l'extension résistée du genou
- Un gonflement des tissus mous localisé
- L'absence d'épanchement articulaire (un signe distinctif important)
Physiopathologie
La SLJD est causée par une traction répétée du tendon patellaire sur son insertion rotulienne, entraînant une inflammation et potentiellement une fragmentation osseuse. Elle est considérée comme une lésion de surcharge.
Facteurs de risque
Les principaux facteurs de risque identifiés sont :
- L'activité physique intense, particulièrement les sports impliquant des sauts répétitifs
- La période de croissance rapide à l'adolescence
- Possiblement une raideur musculaire des quadriceps, ischio-jambiers et gastrocnémiens
Pronostic
La SLJD est généralement auto-limitante, avec une récupération complète attendue à la fermeture de la plaque de croissance rotulienne. La plupart des patients présentent une amélioration des symptômes en 2 à 8 mois avec un traitement conservateur.