
Pathologie vasculaire rare caractérisée par la formation d’un thrombus dans l’artère radiale sans antécédent de traumatisme.
US

Douleur médiane spontanée du poignet révélant une pathologie vasculaire rare.
US

Cas d'une tendinopathie pré-rupture du tendon long extenseur du pouce dans son 3ème compartiment au poignet.
US

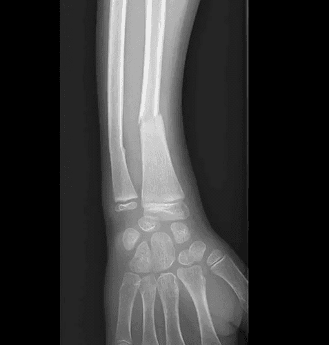
Douleur distal de l'avant-bras chez un jeune patient livreur de course à domicile.
US

Suivi évolutif de consolidation d'une fracture du radius chez l'enfant
RX

Le syndrome de Linburg-Comstock est une variante anatomique tendineuse entre le long fléchisseur du pouce et le fléchisseur profond de l'index.
US