Rachis
Epaule
Coude
Poignet
Main et doigts
Hanche et inguinal
Genou
Cheville
Pied
Muscle
Nerf
Parties molles
Interventionnel
RADIOSTEO.COM
RADIOSTEO.COM
  1. Accueil
  2. Poignet
  3. Fracture du poignet avant bras

Fracture du poignet avant bras

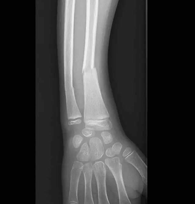
Fracture du radius chez l'enfant
poignet
Fracture du radius chez l'enfant

Suivi évolutif de consolidation d'une fracture du radius chez l'enfant

RX

CHPG - Centre Hospitalier Princesse GraceCHPGCIMM - Centre d'Imagerie Médicale de MonacoC.I.M.MCIMMCISM - Centre d'Imagerie du Sport de MonacoCISMIM2S - Institut Monégasque de Médecine et de SportIM2S