
Cas d'une maladie de Köhler, ostéochondrose rare de l'os naviculaire du pied.
MRI

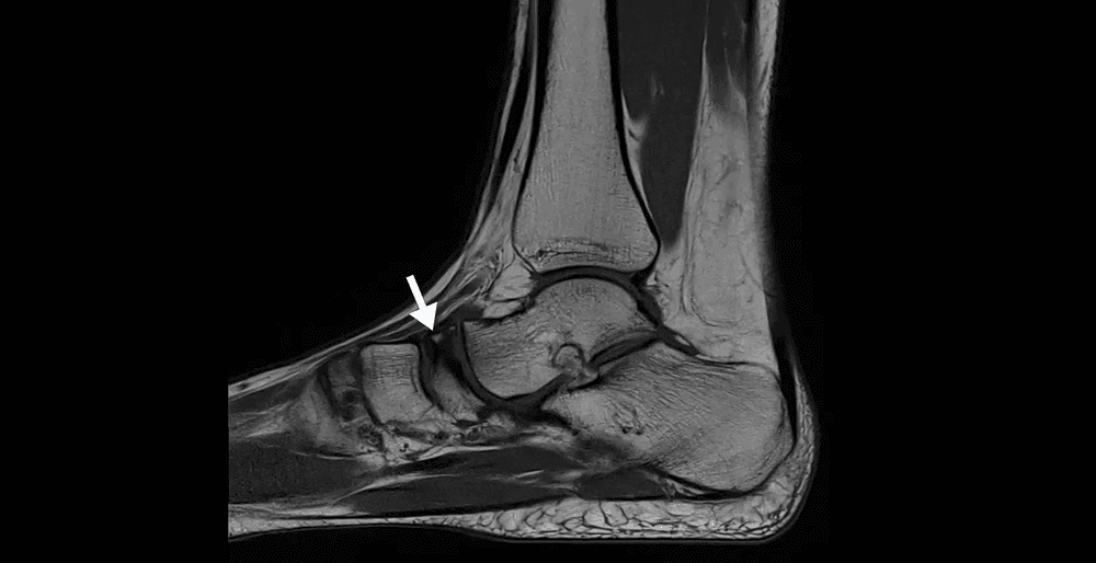
Douleur aiguë de l'arrière-pied chez un patient de 70 ans lors d'un changement de direction brutale pendant la marche.
MRI

Métatarsalgie centrale non traumatique chronique du 3ème espace inter métatarsien.
US

Fracture instable étudiée en échographie dynamique
US