Ostéochondrose de Kohler
MRI
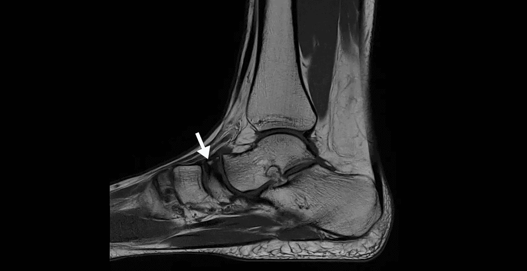
IRM


Description
La maladie de Köhler est une ostéochondrose rare affectant l'os naviculaire du pied chez les enfants. Elle est caractérisée par une nécrose avasculaire transitoire de cet os, conduisant à des douleurs et à des difficultés à marcher. La maladie survient généralement chez les enfants âgés de 3 à 7 ans, avec une prédominance chez les garçons.
Etiologie et physiopathologie
- Vascularisation inadéquate : L'os naviculaire possède un apport sanguin limité, le rendant vulnérable aux perturbations vasculaires.
- Stress mécanique : Les microtraumatismes répétés dus à l'activité physique ou à la charge corporelle peuvent altérer la vascularisation.
- Facteurs de croissance osseuse : Un déséquilibre entre la croissance osseuse et l'apport sanguin peut contribuer à la nécrose.
Tableau clinique
- Douleur dorso-médiale du pied aggravée par la marche ou l'appui.
- Gonflement localisé : Œdème et sensibilité à la palpation de l'os naviculaire.
- Boiterie : L'enfant peut éviter de mettre du poids sur le pied affecté.
- Restriction des activités : Difficulté à participer aux activités physiques ou au jeu.