Rupture complète du tendon calcanéen
Présentation clinique
Douleur aiguë de l'arrière-pied chez un patient de 70 ans lors d'un changement de direction brutale pendant la marche.
IRM
Large solution de continuité tendineuse en lien avec une rupture proximale complète du tenon calcanéen.
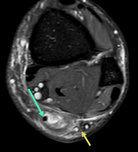
Dans ce cas précis, il existe un tendon plantaire grêle (flèches vertes) qui apparaît continu, épargné par la rupture tedineuse, ce cas de figure est parfois interprété à tort comme une rupture partielle du tendon calcanéen.
Il est important de rechercher la présence d'un tendon plantaire grêle sur le versant médial du tendon calcanéen, car ce tendon accessoire et inconstant peut être prélevé et utilisé dans la reconstruction chirurgicale du tendon calcanéen.
Par ailleurs, notez également la relative proximité du tendon calcanéen avec le nerf sural (flèche jaune) sur le versant latéral du tendon, bien visible en coupe axiale, raison pour laquelle il faut également rechercher des signes de compression nerveuse en cas de volumineux hématome dans les suites d'une rupture tendineuse.
Sagittal T2 FS
Axial T2 FS
Coronal T2 FS

Sagittal T2 FS

Coronal T2 FS

Axial T2 FS