| Sous-catégorie | Nombre de cas |
|---|---|
| Radiologie interventionnelle scanoguidée | 4 |
| Echographie interventionnelle | 0 |

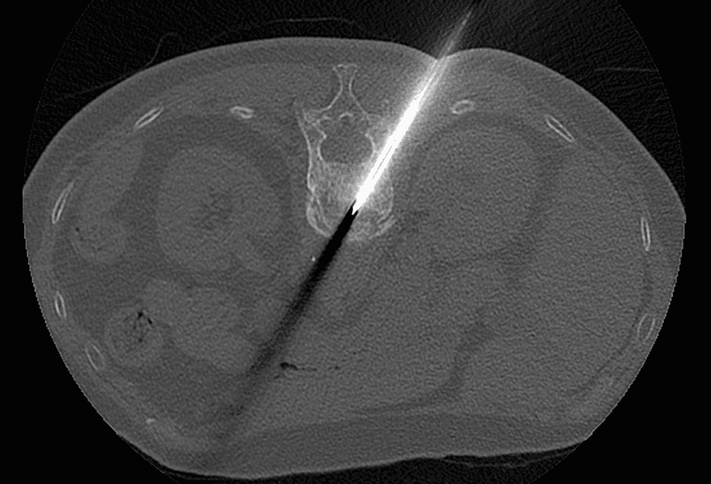
CT

Technique de vissage percutané des fractures du toit du cotyle
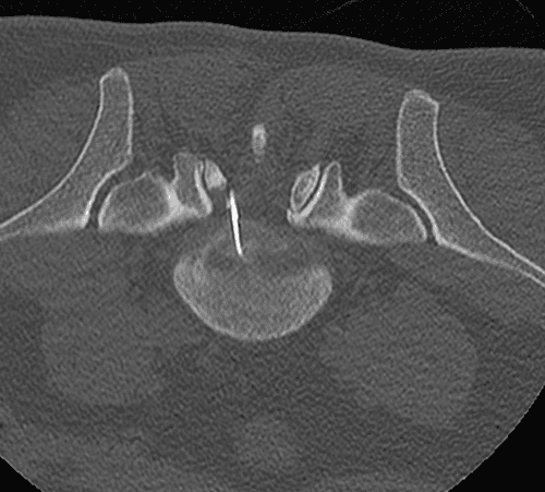
CT

L'implant SPINEJACK vise à réduire la fracture in situ par restauration de la hauteur anatomique du corps vertébral.
CT

Technique de traitement des fractures vertébrales ostéoporotiques
CT