Nucléotomie
Scanner







Description
La nucléotomie percutanée est une technique mini-invasive de décompression discale destinée à traiter certaines pathologies du disque intervertébral, notamment les hernies discales contenues. Elle consiste à retirer, par voie percutanée et sous guidage radiologique, une partie du noyau pulpeux du disque afin de réduire la pression exercée sur les structures nerveuses adjacentes et d’atténuer la symptomatologie radiculaire.
Principes et indications
La technique repose sur la compréhension de la physiopathologie de la hernie discale. Dans le cadre d’une hernie contenue, l’extrusion modérée du noyau pulpeux entraîne une augmentation de la pression interne du disque, qui se traduit par une compression des racines nerveuses. La nucléotomie percutanée permet de diminuer cette pression en retirant une fraction du noyau, ce qui contribue à la réduction de la hernie et à l’amélioration des symptômes cliniques.
Les principales indications concernent les patients présentant :
Une hernie discale contenue avec symptomatologie radiculaire (douleurs sciatique, paresthésies).
Des signes cliniques et radiologiques concordants, sans compression sévère nécessitant une intervention chirurgicale ouverte.
Une situation clinique pour laquelle une approche mini-invasive est souhaitable, notamment chez des patients présentant des comorbidités.
Technique opératoire
Préparation et imagerie préopératoire
Une imagerie (scanner ou IRM) est réalisée en amont pour établir le diagnostic, évaluer l’anatomie discale et planifier la trajectoire d’insertion.
Le patient est positionné de façon à optimiser l’accès à la zone discale concernée, souvent en décubitus ventral ou latéral.
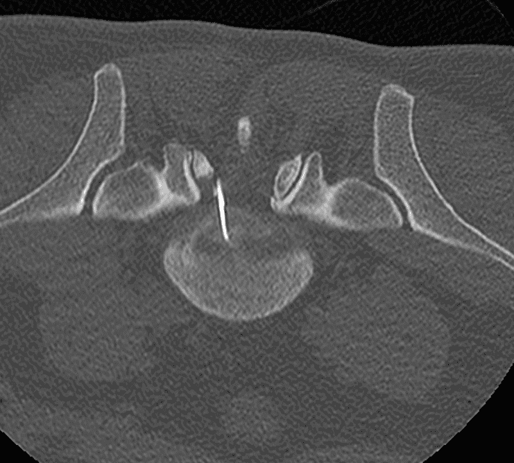
Insertion percutanée sous guidage
Sous anesthésie locale (parfois combinée à une légère sédation), une aiguille fine est introduite de manière percutanée dans le disque intervertébral.
Le guidage en temps réel par fluoroscopie ou scanner assure une précision optimale, minimisant ainsi le risque de lésion des structures adjacentes.
Résection du noyau pulpeux
Une fois l’aiguille en place, des instruments spécialisés (curettes ou dispositifs aspiratifs) sont utilisés pour retirer une portion du noyau pulpeux.
Cette résection permet de diminuer la pression interne, facilitant le repositionnement du disque et la réduction de la hernie.
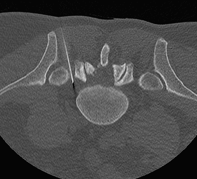
Contrôle final
Un contrôle imagerie est effectué en fin d’intervention pour vérifier la qualité de la décompression et la bonne répartition des espaces discaux, garantissant ainsi l’efficacité du geste.
Avantages et limites
- Mini-invasive : Réduction significative de la morbidité, des incisions et des traumatismes tissulaires par rapport aux techniques chirurgicales ouvertes.
- Récupération accélérée : Diminution du temps de récupération et de l’hospitalisation, avec un retour rapide aux activités quotidiennes.
- Sécurité améliorée : Le guidage en imagerie réduit le risque de complications telles que les lésions nerveuses ou vasculaires.
Cependant, cette technique n’est pas dénuée de limites.
Elle est principalement indiquée pour les hernies contenues et peut s’avérer moins efficace dans les cas de hernies volumineuses ou de disques dégénérés avancés. De plus, la réussite de l’intervention dépend largement de la précision de la planification préopératoire et de l’expérience de l’équipe opératoire.
Conclusion
La nucléotomie percutanée représente une avancée significative dans le traitement des hernies discales contenues, offrant une alternative sûre et efficace aux techniques chirurgicales traditionnelles. Grâce à une approche mini-invasive et à l’utilisation d’un guidage en temps réel, cette technique permet de réduire la symptomatologie radiculaire tout en favorisant une récupération rapide et une meilleure qualité de vie pour les patients. Néanmoins, une sélection rigoureuse des patients et une expertise technique sont indispensables pour optimiser les résultats cliniques.