
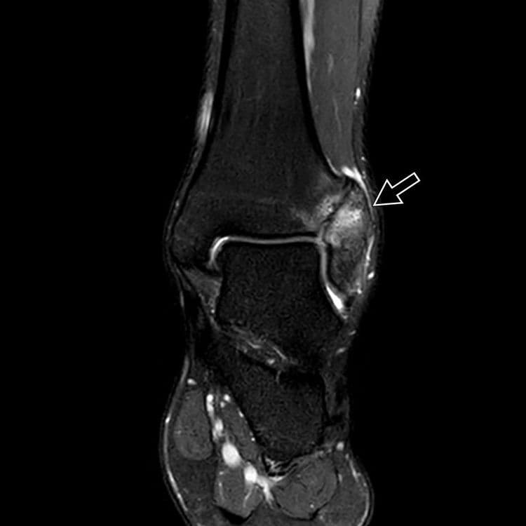
Complication rare des entorses graves de la syndesmose tibio-fibulaire inférieure.
MRI

Syndrome douloureux chronique caractérisé par une douleur disproportionnée par rapport à l’événement déclenchant
MRI

MRI

Algie aiguë plantaire d'un joueur de tennis de 50 ans
MRI

Douleur non traumatique latérale à la cheville, exacerbée par l'activité physique.
US

Douleur non traumatique du bord médial du pied gauche
US

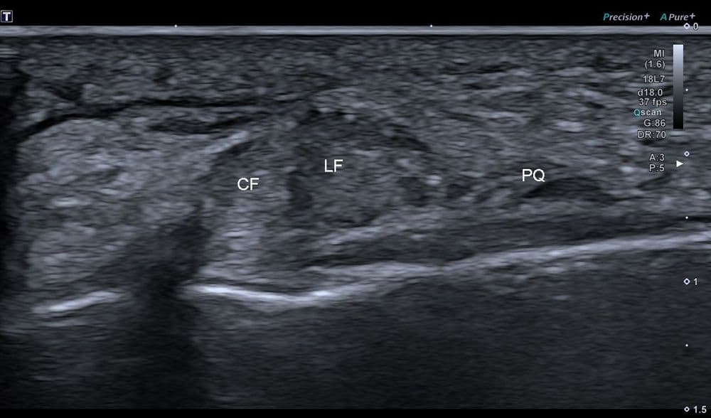
Tendon surnuméraire issu des muscles fibulaires situés dans la loge latérale de la jambe.
US

Enthésopathie du tendon tibial postérieur sur os naviculaire accessoire de type 2.
US