Fixation d'une fracture cotyloïdienne scanoguidée
Scanner










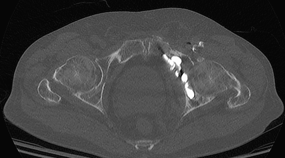
Description
Les fractures du toit du cotyle représentent un défi majeur en traumatologie orthopédique en raison de leur localisation dans une zone de charge et de leur proximité avec les structures articulaires. Traditionnellement traitées par des techniques chirurgicales ouvertes, ces fractures peuvent désormais bénéficier d’une approche mini-invasive grâce à l’ostéosynthèse sous guidage scanner. Le vissage percutané, réalisé sous imagerie CT, permet d’obtenir une réduction anatomique et une stabilisation précise des fragments osseux.
Technique et procédure
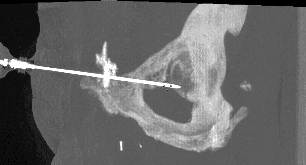
La procédure de vissage des fractures du toit du cotyle s’appuie sur une planification minutieuse et l’utilisation en temps réel d’images scanner.
Le protocole comporte plusieurs étapes clés :
Planification préopératoire :
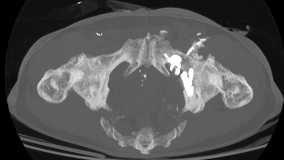
Analyse des images CT pour définir la trajectoire optimale du vissage en fonction du schéma de fracture.
Déterminer des repères anatomiques et la configuration osseuse pour minimiser le risque de pénétration intra-articulaire.
Installation du patient et guidage percutané :
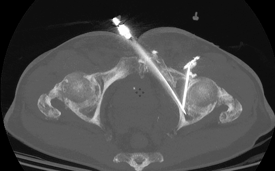
Le patient est positionné de manière à faciliter l’accès à la zone fracturée.
Sous anesthésie locale (parfois combinée à une légère sédation), une aiguille de guidage est introduite en se servant de la fluoroscopie pour vérifier en continu sa progression.
Insertion et déploiement du matériel d’ostéosynthèse :
Une fois l’aiguille positionnée, le vissage est réalisé en respectant la trajectoire prédéfinie, permettant de réaligner les fragments osseux.
Le vissage est ensuite fixé de manière à assurer une stabilité mécanique suffisante pour supporter les contraintes de la zone cotyloïdienne.
Contrôle post-procédural :
Un contrôle scanner final permet de vérifier la position du vissage et la qualité de la réduction anatomique, garantissant ainsi le succès de l’intervention.
Avantages et implications cliniques
L’ostéosynthèse sous scanner pour les fractures du toit du cotyle présente plusieurs avantages cliniques et techniques :
- Minimisation de l’invasion chirurgicale : La technique percutanée permet de limiter les incisions et le traumatisme tissulaire, réduisant ainsi les risques d’infection et de complications postopératoires.
- Précision et sécurité : Le guidage en temps réel par scanner offre une visualisation détaillée de l’anatomie osseuse et des structures avoisinantes, ce qui permet d’optimiser le placement du vissage et de prévenir les erreurs de trajectoire.
- Récupération améliorée : En obtenant une fixation stable et une réduction anatomique précise, la procédure favorise une reprise plus rapide de l’activité fonctionnelle, avec un risque moindre de complications secondaires telles que l’arthrose post-traumatique.
- Applicabilité dans des contextes complexes : Cette approche est particulièrement bénéfique pour les patients présentant des comorbidités ou pour ceux chez qui une chirurgie ouverte représenterait un risque accru.
Conclusion
La technique de vissage percutané des fractures du toit du cotyle illustre l’évolution des pratiques en traumatologie et en imagerie interventionnelle. En combinant une planification précise et un guidage scanner en temps réel, cette méthode permet une réduction anatomique et une stabilisation efficace, offrant aux patients une solution mini-invasive et sécurisée pour la prise en charge des fractures complexes du cotyle.