Vertebroplastie (cimentoplastie)
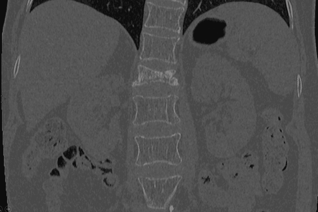
Scanner

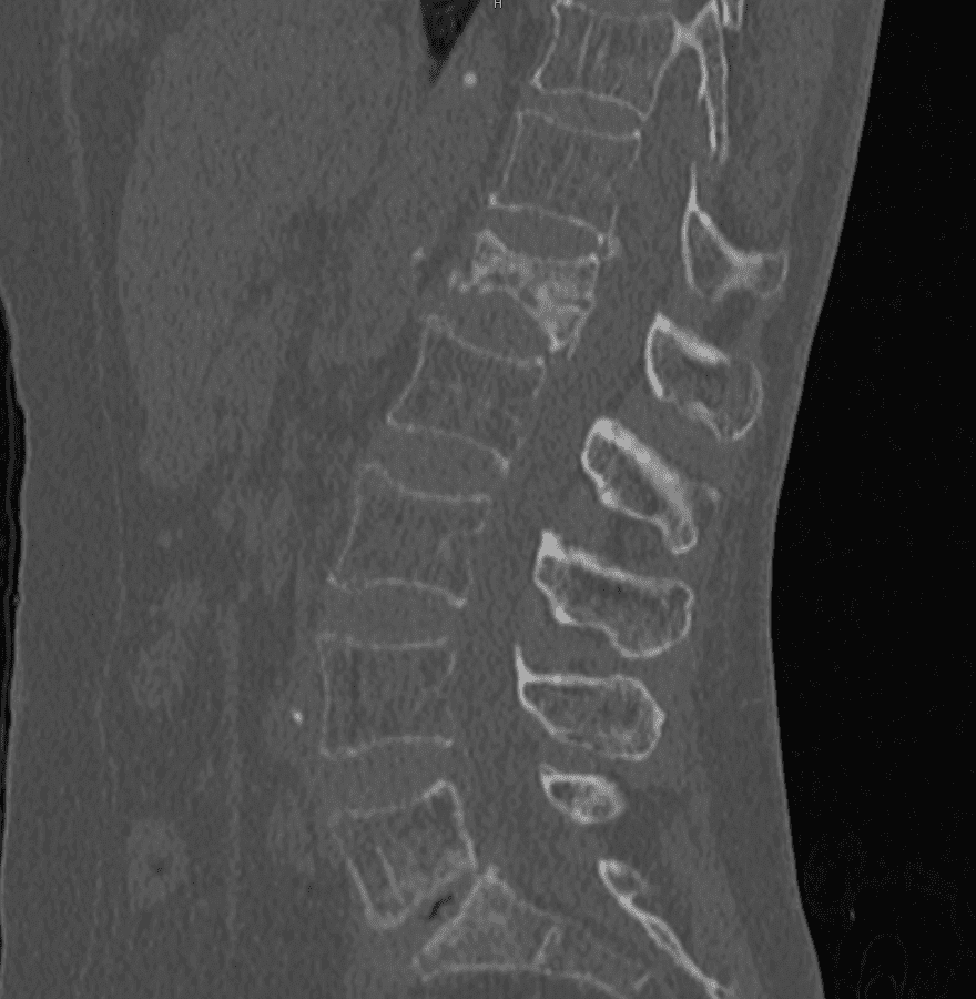
Scanner montrant une fracture d'une vertèbre



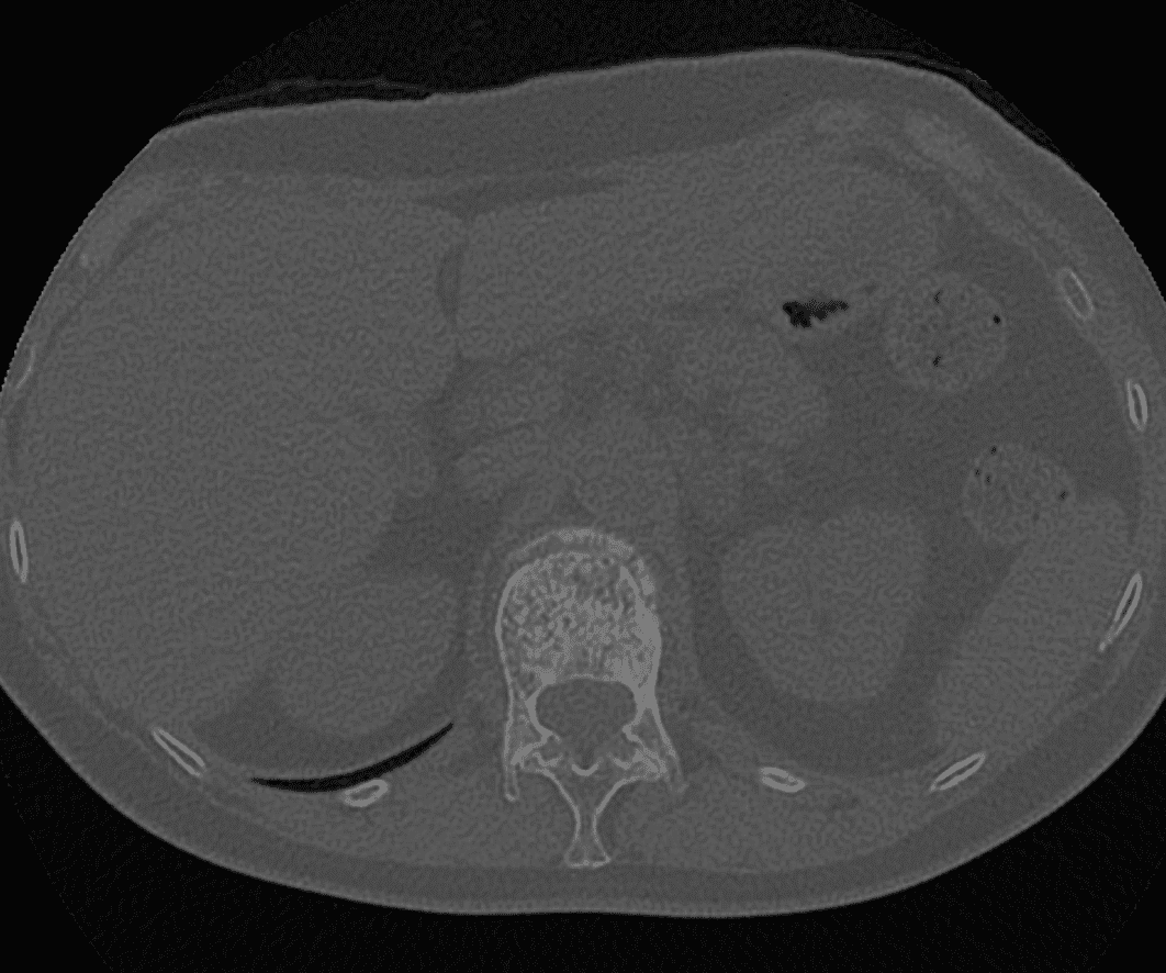
Positionnement de l'aiguille sous guidage



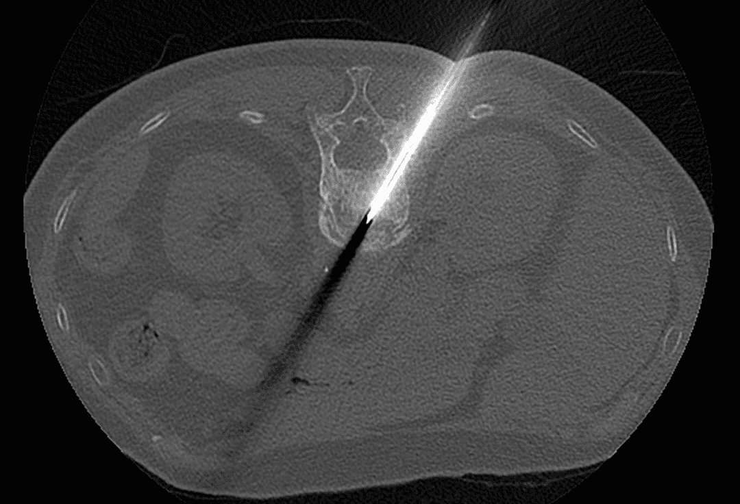
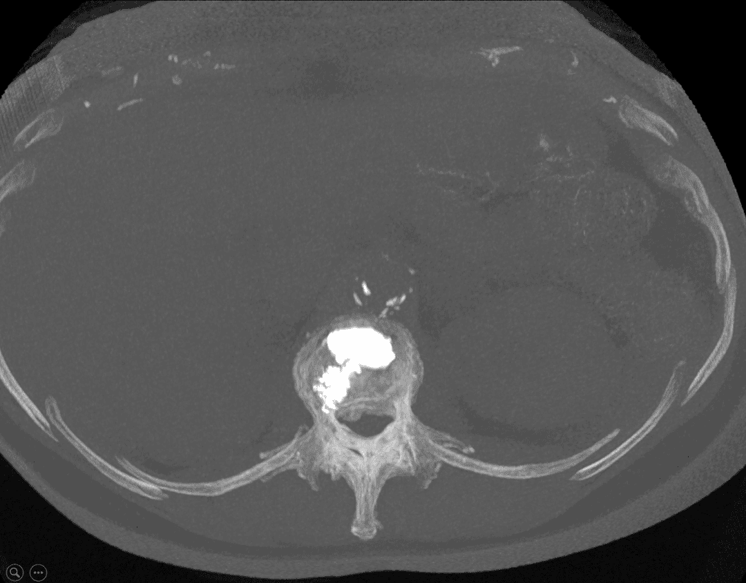
Résultat après injection de ciment


Description
Contexte et enjeux
L’ostéoporose fragilise les os et expose de nombreuses personnes – notamment 45 % des femmes de plus de 50 ans – à un risque élevé de fractures vertébrales. Chaque année, des centaines de milliers de ces fractures surviennent, pouvant entraîner des douleurs intenses, des hospitalisations et un lourd impact sur la qualité de vie. Bien que la plupart des fractures soient parfois silencieuses, certaines provoquent une douleur aiguë qui, malgré des traitements conservateurs (repos, antalgiques, corset, rééducation), persiste et limite les activités quotidiennes.
Du traitement traditionnel à la vertébroplastie
Tandis que les méthodes classiques (médication, immobilisation et physiothérapie) peuvent suffire pour beaucoup, elles ne soulagent pas toujours durablement la douleur chez tous les patients. La vertébroplastie est apparue comme une alternative innovante : il s’agit d’une procédure de radiologie interventionnelle qui consiste à injecter du ciment acrylique directement dans la vertèbre fracturée. Ce renforcement interne stabilise la structure osseuse, réduit la douleur et aide à prévenir les complications liées à l’immobilité, comme les escarres ou les infections.
Comment se déroule l’intervention ?
Installation et préparation
Le patient est confortablement installé, souvent sous anesthésie locale ou légère sédation.
Guidage de l’aiguille
Grâce à des images en temps réel obtenues par fluoroscopie et/ou scanner, l’équipe médicale guide avec précision une aiguille jusqu’à la zone concernée, évitant ainsi les structures sensibles comme les vaisseaux sanguins.
Injection du ciment
Une fois l’aiguille positionnée correctement, le ciment acrylique est injecté de façon contrôlée. Cette étape cruciale, suivie en continu grâce aux images, garantit une distribution homogène du ciment tout en minimisant le risque de fuite hors du vertèbre.
Les avantages de la vertébroplastie
- Soulagement rapide de la douleur : De nombreuses études montrent une nette amélioration de la douleur après l’intervention.
- Retour à la vie active : En stabilisant la fracture, la vertébroplastie permet aux patients de retrouver rapidement leur mobilité – se lever, marcher, et reprendre leurs activités quotidiennes – ce qui contribue à réduire les complications liées à l’alitement prolongé.
- Sécurité et fiabilité : Le succès de la procédure repose sur plusieurs critères : une sélection attentive des patients, un placement précis de l’aiguille, une injection du ciment au moment optimal et un contrôle permanent par imagerie.
Ces éléments, combinés à l’expertise de l’opérateur, garantissent une intervention sûre et efficace.
Conclusion
La vertébroplastie représente une avancée majeure pour ceux qui souffrent de fractures vertébrales douloureuses liées à l’ostéoporose. En renforçant directement la structure vertébrale, elle offre une solution rapide pour soulager la douleur, améliorer la mobilité et prévenir les complications secondaires. Si vous ou un proche êtes concerné(e) par ce type de fracture, n’hésitez pas à discuter de cette option avec votre médecin pour déterminer si elle convient à votre situation.