Implant Spinejack
Scanner










Description
L’implant SPINEJACK est une technique de radiologie interventionnelle, innovante et peu invasive, qui offre une alternative aux méthodes traditionnelles telles que la vertébroplastie ou la kyphoplastie. Cette procédure consiste à insérer un implant métallique à l’intérieur de la vertèbre fracturée. Une fois positionné, l’implant est déployé pour restaurer la hauteur et la forme normale de la vertèbre, ce qui aide à réaligner la colonne et à réduire la compression sur les structures nerveuses. Par la suite, un ciment osseux est injecté pour consolider l’implant et stabiliser la fracture.
Comment se déroule l’intervention ?
Installation et préparation
Le patient est confortablement installé, généralement sous anesthésie locale ou légère sédation, afin de garantir son bien-être durant la procédure.
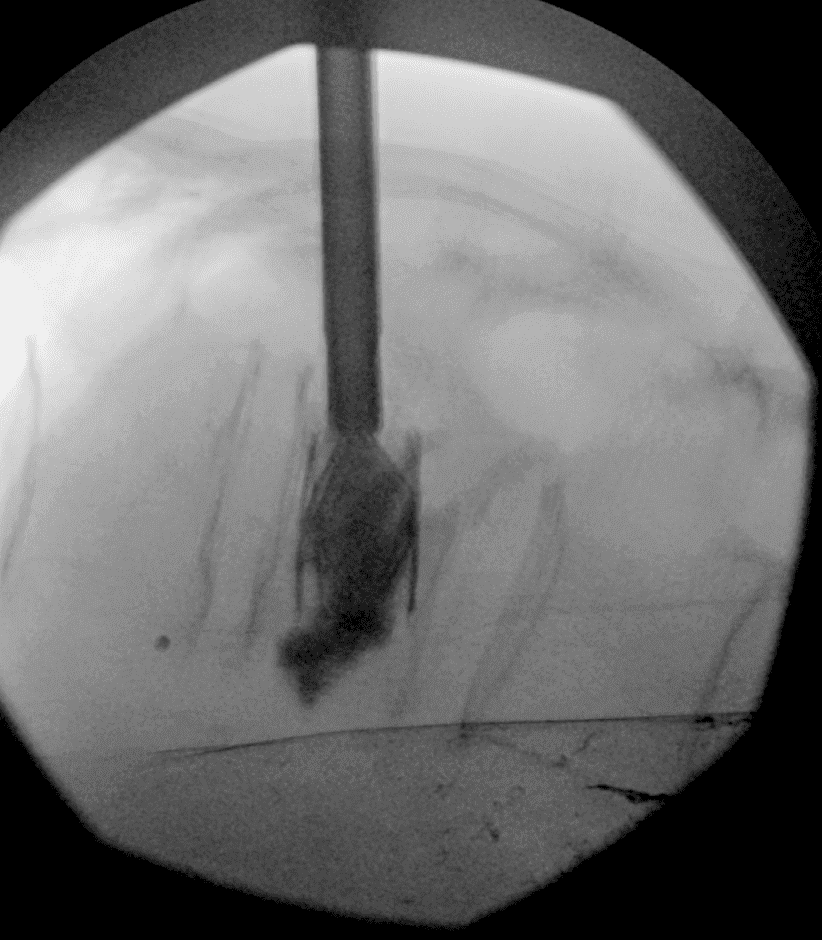
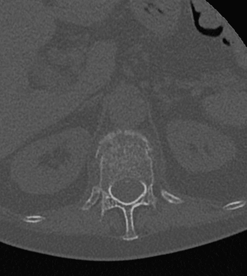
Guidage par imagerie
À l’aide de la fluoroscopie et/ou du scanner, l’équipe médicale guide avec précision une aiguille jusqu’au site de la fracture, en s’assurant d’éviter les structures sensibles.
Insertion et déploiement de l’implant
L’implant SPINEJACK est introduit dans le corps vertébral. Une fois en place, il est progressivement déployé pour redresser la vertèbre et restaurer sa hauteur, améliorant ainsi la posture et réduisant la douleur.
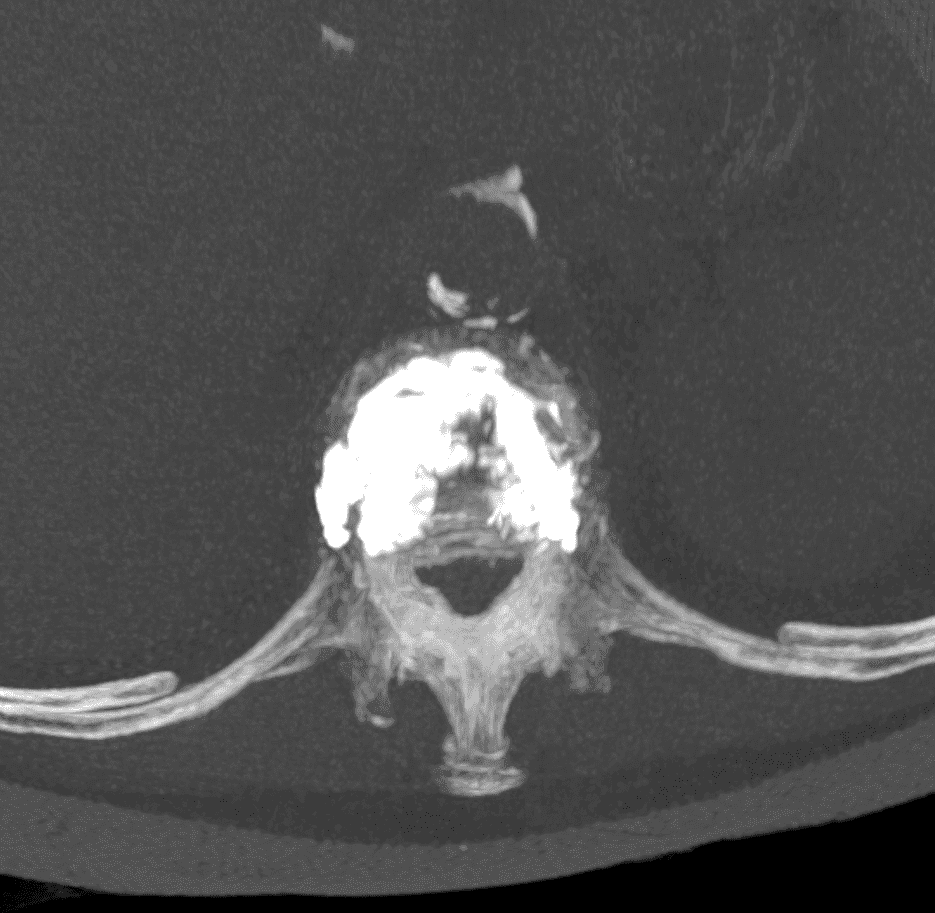
Injection du ciment
Pour assurer la stabilité de l’ensemble, du ciment osseux est injecté de manière contrôlée autour de l’implant, garantissant ainsi la consolidation et la pérennité du résultat.
Les avantages de l’implant SPINEJACK
- Restauration de la hauteur vertébrale : En redressant la vertèbre, l’implant aide à retrouver une posture plus naturelle et à prévenir les déformations de la colonne.
- Réduction rapide de la douleur : La stabilisation de la fracture permet souvent une diminution significative de la douleur, favorisant ainsi un retour plus rapide aux activités quotidiennes.
- Procédure mini invasive : Réalisée sous guidage imagerie, l’intervention est rapide et présente un faible risque de complications, tout en réduisant les séjours hospitaliers et les complications liées à l’immobilisation prolongée.
- Amélioration de la qualité de vie : En permettant aux patients de retrouver leur mobilité et leur autonomie, cette technique contribue à limiter les complications secondaires (comme les escarres, infections ou embolies) et favorise un retour à une vie normale.
Conclusion
En redressant et en stabilisant la vertèbre fracturée, cette intervention permet non seulement de soulager la douleur, mais aussi de restaurer la hauteur vertébrale et d’améliorer la qualité de vie.