Rachis
Epaule
Coude
Poignet
Main et doigts
Hanche et inguinal
Genou
Cheville
Pied
Muscle
Nerf
Parties molles
Interventionnel
RADIOSTEO.COM
RADIOSTEO.COM
  1. Accueil
  2. Poignet
  3. Pathologie vasculaire du poignet

Pathologie vasculaire du poignet

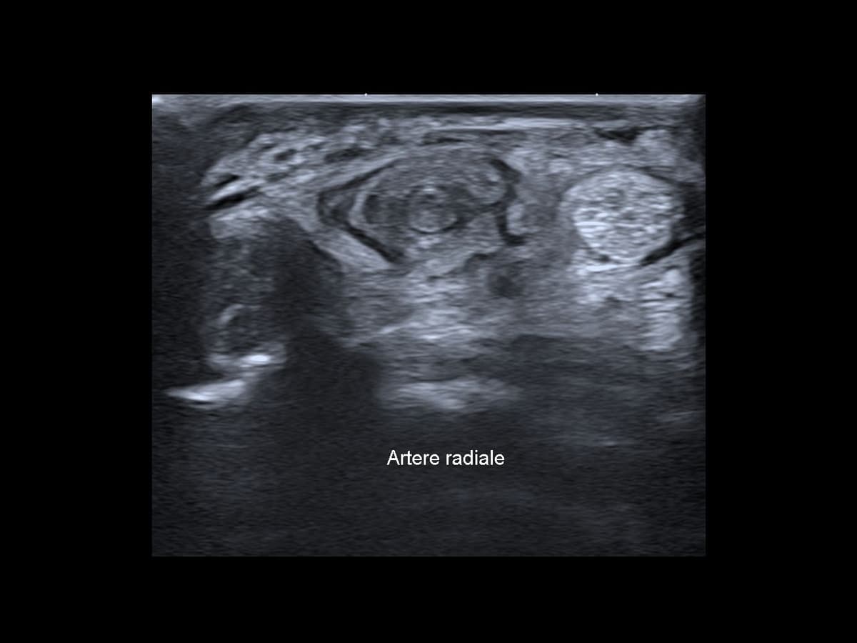
Thrombose de l'artère radiale
poignet
Thrombose de l'artère radiale

Pathologie vasculaire rare caractérisée par la formation d’un thrombus dans l’artère radiale sans antécédent de traumatisme.

US

Thrombose de l'artère médiane du poignet
poignet
Thrombose de l'artère médiane du poignet

Douleur médiane spontanée du poignet révélant une pathologie vasculaire rare.

US

CHPG - Centre Hospitalier Princesse GraceCHPGCIMM - Centre d'Imagerie Médicale de MonacoC.I.M.MCIMMCISM - Centre d'Imagerie du Sport de MonacoCISMIM2S - Institut Monégasque de Médecine et de SportIM2S