Tendinopathie patellaire corporéale superficielle
US
Présentation clinique
Gonalgie antérieure post traumatique traînante sans notion de pratique de sport de saut.
La suspicion clinique a été en première intention la recherche d'une bursopathie péri patellaire.
Échographie
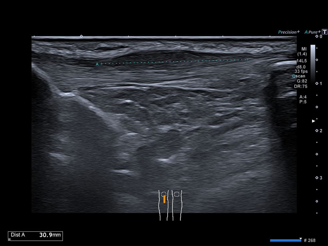
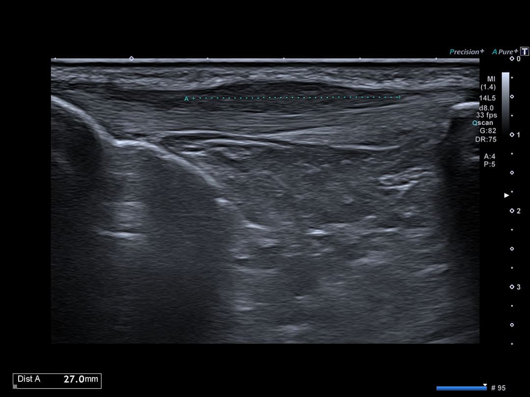
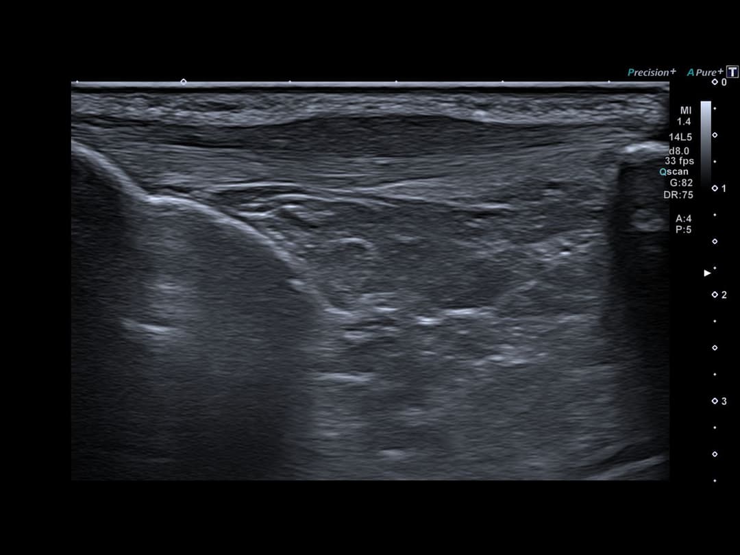
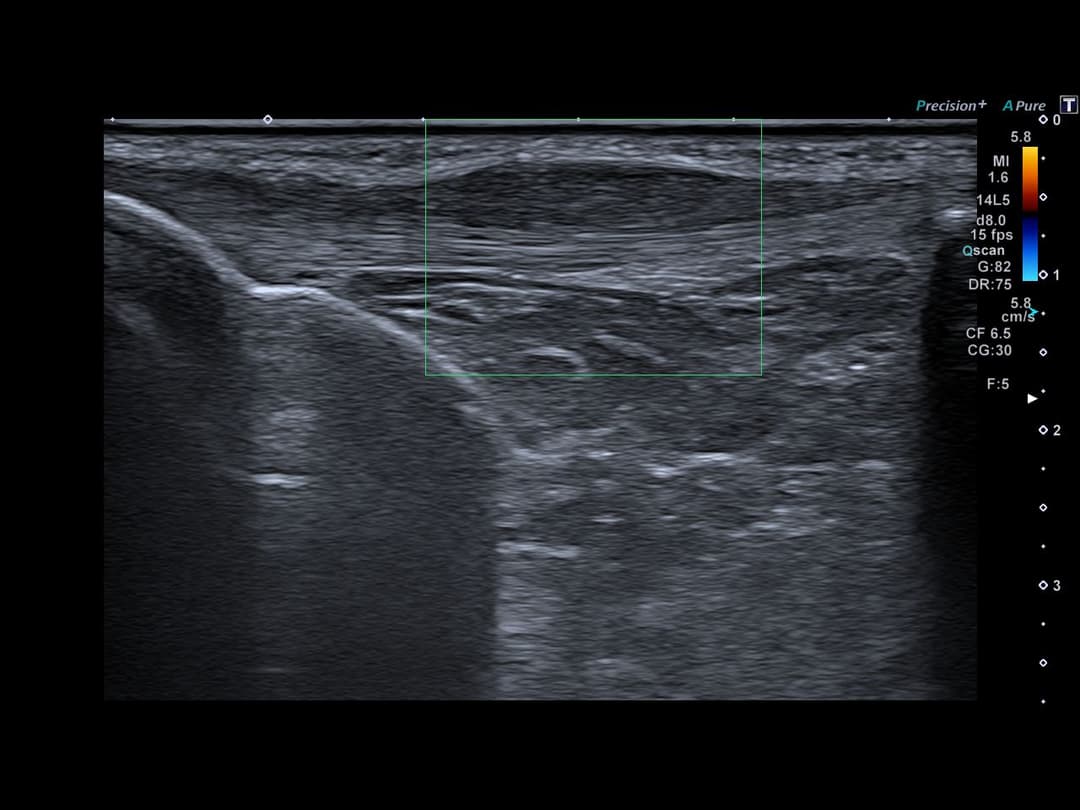
Epaississement fusiforme avec hypo échogénicité de la portion corporéale superficielle du tendon patellaire, étendue sur 3cm de hauteur, sans fissuration intra-tendineuse notable.
Discret œdème des tissus mous cellulo-graisseux sous-cutanés adjacents.




