Tendinopathie patellaire corporéale globale
US
Présentation clinique
Gonalgie antérieure persistante à type de crise intermittente non prévisible ainsi que lors du passage en position accroupie.
Notion de chirurgie pour exérèse d’une corps étranger dans les parties molles sous cutanées.
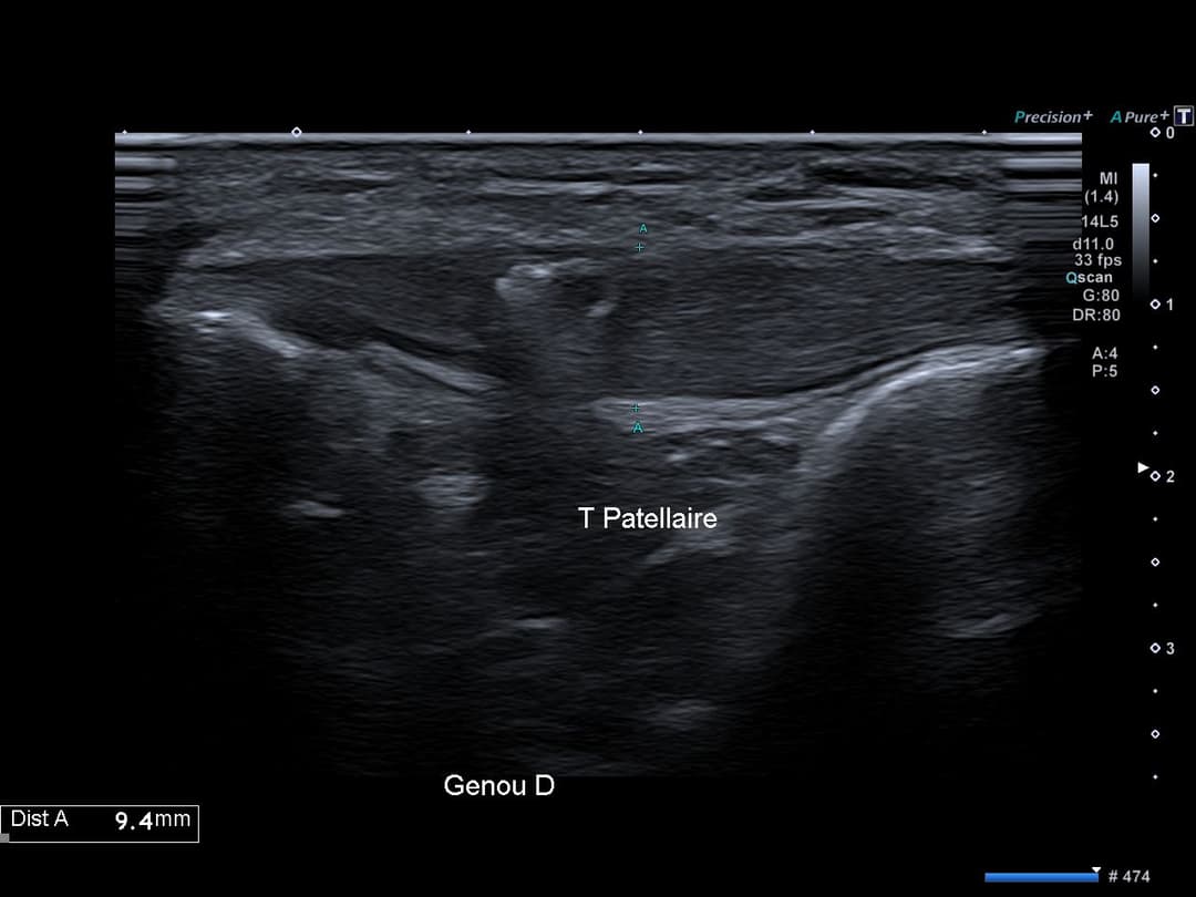
Échographie
Tendon patellaire présentant un épaississement global et fusiforme de sa portion corporéal, mesurant jusqu’à 8 mm d’épaisseur à droite contre 4 mm à gauche, avec légère perte de son architecture fibrillaire sans fissuration.
Calcification intra tendineuse corporéale ovoïde non atténuante de 8 mm.
Franche néovascularisation globale du tendon en Doppler couleur.
Accentuation hyperéchogène dans la graisse de Hoffa plutôt dans son compartiment latéral, traduisant un oedeme ou un remaniement fibreux.





