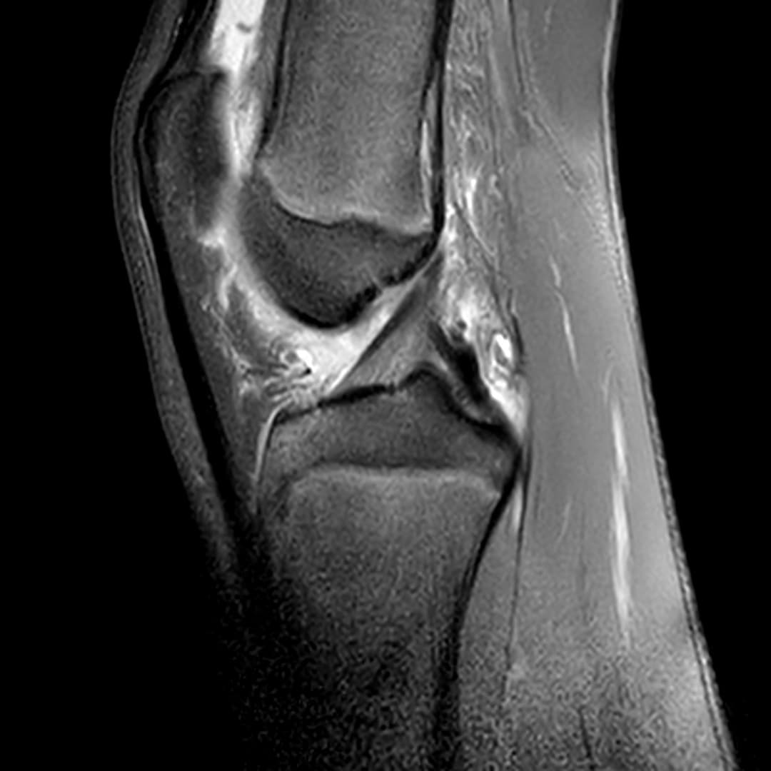
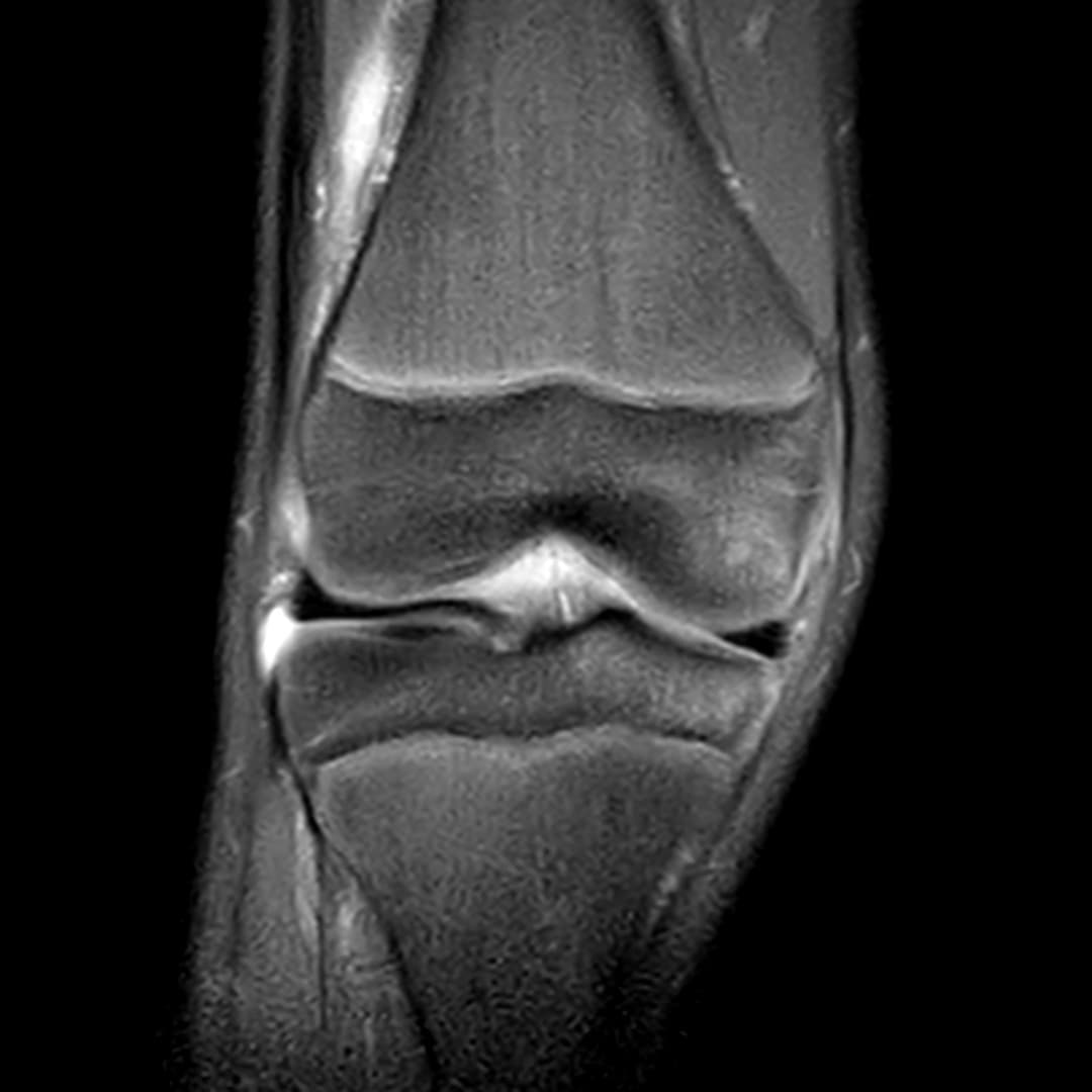
Contusion osteo-chondrale du genou
MRI
Présentation clinique
Douleurs post traumatique et gonflements
IRM
Intégrité ligamentaire et méniscale
Fracture sous chondrale par impaction avec œdème sous chondral en miroir du compartiment fémoro-tibial médial.
Epanchement articulaire abondant.





