Tendinopathie patellaire corporéale profonde
Présentation clinique
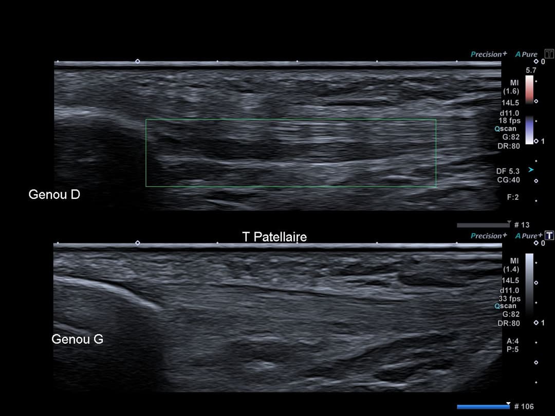
Basketteur professionnel asymptomatique.
Échographie
Tendon patellaire présentant une plage de remaniement structurel modérément hypoéchogène, sans perte du caractère fibrillaire intéressant la face profonde du tendon sur 3 cm de grand axe, sans activité en Doppler.


Conclusion
Le tendon patellaire présente souvent des remaniements de sa face profonde notamment chez les basketteurs / volleyeurs de haut niveau, sans pour autant être symptomatique. Cette problématique est regoupée sur le terme de "Jumper's Knee"
Lorsqu'il est symptomatique, le jumper's knee est un défi clinique important, en particulier chez les athlètes.
Bien que les traitements conservateurs, notamment les exercices excentriques, restent la pierre angulaire de la prise en charge, des approches innovantes comme les injections de PRP et les cellules souches montrent des résultats prometteurs. Des recherches supplémentaires sont nécessaires pour optimiser les stratégies de prévention et de traitement.