Anse de seau
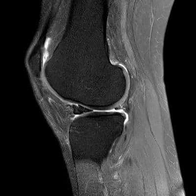
IRM
Volumineuse lésion en anse de seau du ménisque latéral avec luxation du fragment méniscal sur le profil antérieur de l'échancrure inter-condylienne, conservation de l'attache méniscale antérieure, l'attache méniscale postérieure apparaît rompu.


Description
Définition
Une lésion en anse de seau (bucket handle tear en anglais) est une déchirure longitudinale complète du ménisque, où le fragment interne est déplacé dans l'échancrure intercondylienne14. Elle représente jusqu'à 10% de toutes les déchirures méniscales
Mécanisme de la lésion
Ces lésions surviennent généralement suite à un traumatisme en torsion du genou, souvent lors d'activités sportives. Elles peuvent être associées à des lésions ligamentaires, notamment du ligament croisé antérieur (LCA).
Les lésions en anse de seau peuvent être aiguës ou chroniques, et affecter le ménisque médial ou latéral.
Examen clinique
Les symptômes typiques incluent :
- Douleur au niveau de l'interligne articulaire
- Blocage mécanique du genou en flexion
- Sensation d'instabilité
- Gonflement articulaire
L'examen physique peut révéler :
- Une sensibilité à la palpation de l'interligne articulaire
- Un test de McMurray positif
- Une limitation de l'extension du genou
Le diagnostic est confirmé par IRM, qui montre des signes caractéristiques comme le "double LCP" ou l'absence de "nœud papillon" sur les coupes sagittales.
Traitement
Le traitement dépend de plusieurs facteurs, notamment l'âge du patient, la localisation de la lésion et son caractère aigu ou chronique.
Traitement conservateur : Rarement indiqué pour les lésions en anse de seau en raison du risque de blocage persistant et de lésions cartilagineuses secondaires
Traitement chirurgical :
1- Réparation méniscale : Préférée chez les patients jeunes et pour les lésions dans les zones vascularisées du ménisque (zones rouge-rouge ou rouge-blanche).
2- Méniscectomie partielle : Réservée aux lésions non réparables ou chez les patients plus âgés.
Les techniques de réparation incluent :
- Sutures all-inside
- Sutures inside-out ou outside-in
- Utilisation d'ancres de suture
Le taux d'échec après réparation varie selon les études, allant de 14,8% à 34,2%.
Les facteurs de risque d'échec comprennent un âge plus jeune, le sexe masculin et un niveau d'activité élevé.
La réparation méniscale, lorsqu'elle réussit, est associée à de meilleurs résultats fonctionnels et à un risque réduit d'arthrose à long terme par rapport à la méniscectomie