Rachis
Epaule
Coude
Poignet
Main et doigts
Hanche et inguinal
Genou
Cheville
Pied
Muscle
Nerf
Parties molles
Interventionnel
RADIOSTEO.COM
RADIOSTEO.COM
  1. Accueil
  2. Genou
  3. Lesions menisco ligamentaires multiples

Lesions menisco ligamentaires multiples

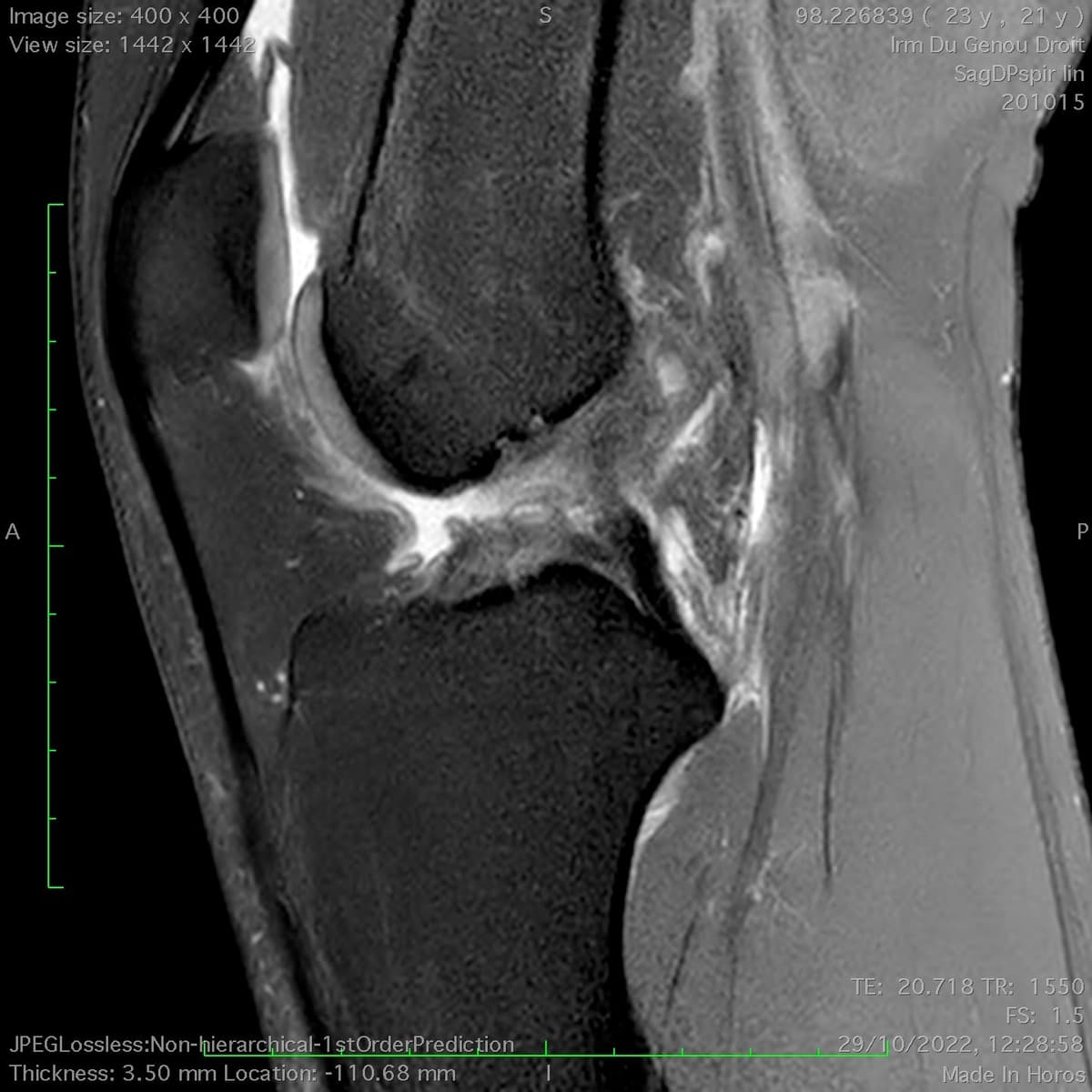
Lésions ménisco-ligamentaires multiples du genou (Triade)
genou
Lésions ménisco-ligamentaires multiples du genou (Triade)

Traumatisme du genou au football sans contact

MRI

CHPG - Centre Hospitalier Princesse GraceCHPGCIMM - Centre d'Imagerie Médicale de MonacoC.I.M.MCIMMCISM - Centre d'Imagerie du Sport de MonacoCISMIM2S - Institut Monégasque de Médecine et de SportIM2S