Ostéochondrome compressif sur le nerf radial au coude
Présentation clinique
Patiente de 75 ans, présentant une faiblesse dans le poignet lors des activités quotidiennes avec sensation de fourmillements dans le dos de la main (surtout entre le pouce et l’index).
A l'examen, incapacité à effectuer une extension complète du poignet droit ("wrist drop") et faiblesse à l'extension des doigts et du pouce.
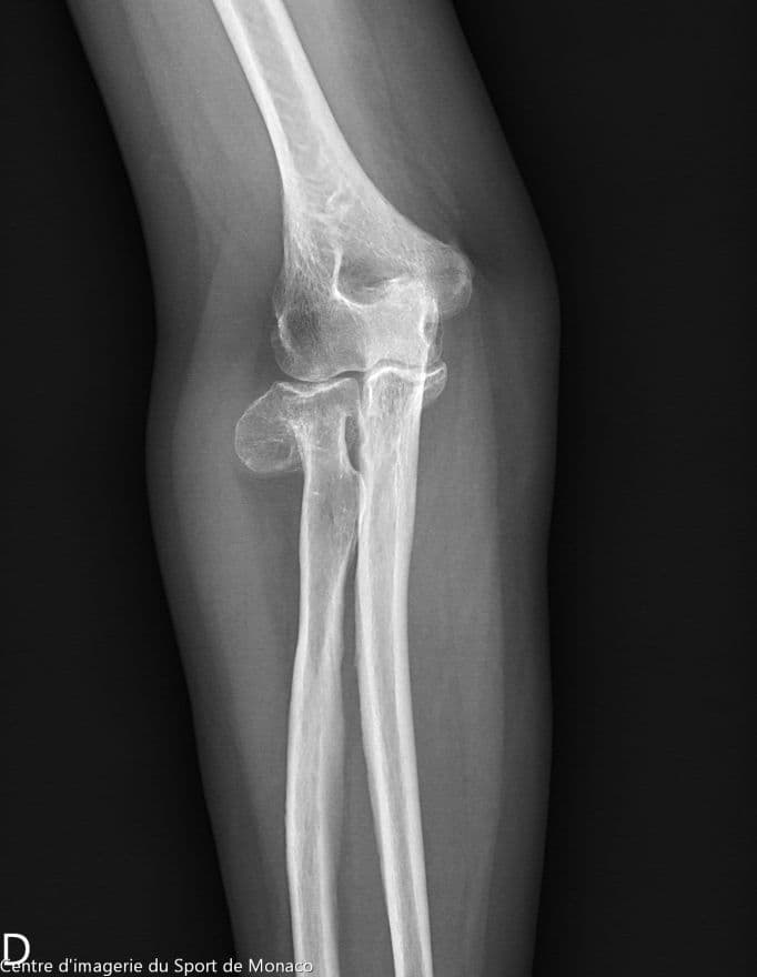
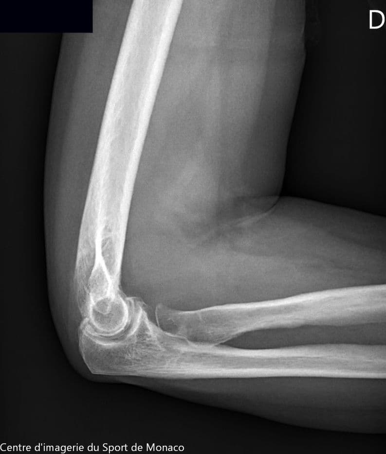
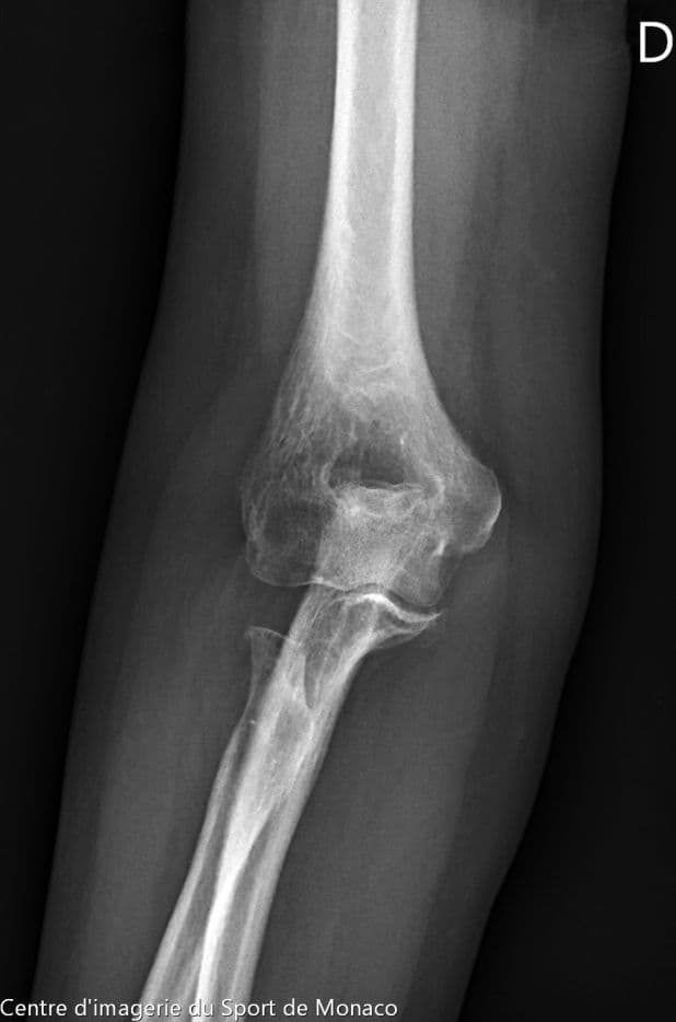
Radiographie

Excroissance osseuse au niveau métaphysoépiphysaire de la tête radiale qui évoque un ostéochondrome à large base d’implantation


Aspect post chirurgical de résection de la tête radiale.

Échographie
Volumineuse structure osseuse additionnel qui s'avérera être un ostéochondrome de la tête radiale.
Compression du nerf radial qui présente une perte de son parallélisme et un épaississement hypoéchogène à son passage en regard de la structure.



Conclusion
Après prise en charge chirurgicale, récupération complète du déficit du nerf radial en 6 mois.