Rupture du nerf fibulaire commun sur traumatisme complexe du genou
Présentation clinique
Jeune rugbyman présentant un traumatisme complexe du genou droit suite à un violent placage durant un match.
L'examen clinique associe une instabilité importante du genou surtout en rotation externe et lors des mouvements de valgus; limitation très douloureuse de la flexion du genou ; impossibilité de relever le pied (drop foot) avec une une démarche en "steppage"; une faiblesse dans l'éversion du pied et une perte complète de sensation sur le dos du pied et le côté latéral de la jambe (zones innervées par les branches du nerf fibulaire commun).
Échographie
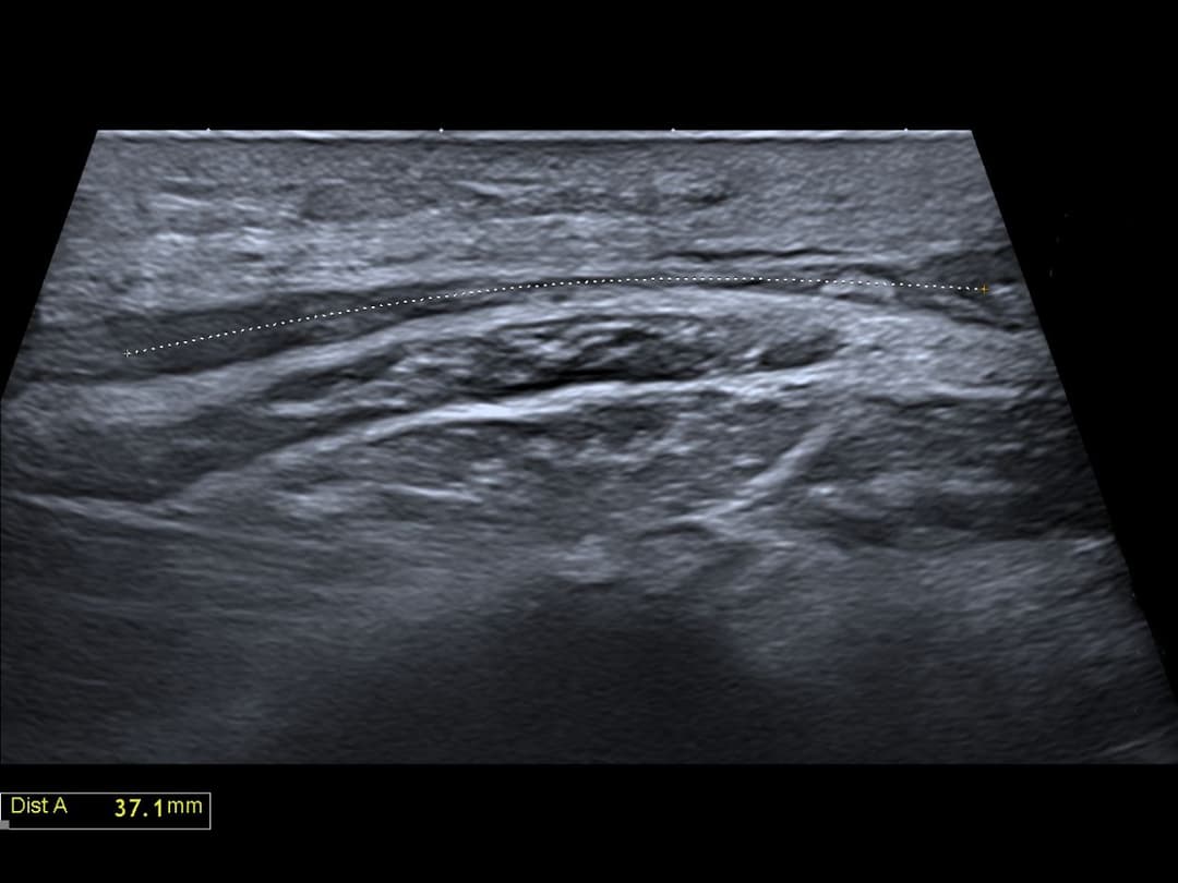
Echographie réalisé avant chirurgie pour marquage du nerf fibulaire commun.
Désinsertion avec rétraction de 2.5 cm de l'insertion fibulaire du ligament collatéral latéral et du tendon biceps fémoral.
Rupture complète de la continuité du nerf fibulaire commun juste après sa naissance du nerf sciatique, avec un écart interfragmentaire de 4 cm.

Désinsertion complète du LCL et du tendon biceps fémoral

Ecart interfragmentaire de 4 cm

Visualisation du moignon proximal du NFC

Visualisation du moignon distal du NFC

Comparatif de l'aspect continu du NFC de la cuisse gauche
Visualisation du moignon distal du NFC
IRM
Rupture complète du tiers moyen du ligament croisé antérieur. Aspect infiltré épaissi du tiers moyen du ligament croisé postérieur sur possible rupture partielle. Désinsertion complète du distal du ligament collatéral latéral et de l’insertion du biceps fémoral.
empreinte d’infiltration hémorragique du point d’angle postéro-externe.
Le nerf fibulaire commun présente un important épaississement dans sa portion rétro-condylienne en amont de l’interligne articulaire avec rétraction.
Importante contusion osseuse en miroir sans trait de fracture visible ni enfoncement.
Désinsertion capsulo-méniscale postérieure.
Epanchement sous-quadricipital de grande abondance.
Axial DP FAT SAT
Axial T2 TSE
Sagittal DP spir
Coronal DP SPAIR
DP TSE LCA
Coronal TSE T1