Tumeur de Masson
Présentation clinique
Jeune homme de 20 ans, sportif pratiquant la boxe, présentant une tuméfaction indolore latéro-cervicale droite d'apparition spontanée à évolution lente.
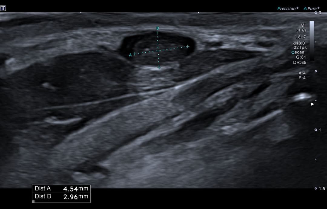
Échographie
Matériel échogène tissulaire endoluminal dans une veine superficielle collatérale de la veine jugulaire externe droite, présentant un pédicule vasculaire en Doppler couleur.



Description
La tumeur de Masson, également connue sous le nom d'hyperplasie endothéliale papillaire intravasculaire (HEPI), est une lésion bénigne rare, souvent trouvée dans les tissus sous-cutanés ou les vaisseaux sanguins thrombotiques.
Ce type de tumeur est caractérisé par une prolifération papillaire de cellules endothéliales dans des cavités vasculaires.
Elle est souvent confondue avec d'autres néoplasmes vasculaires malins, comme l'angiosarcome, ce qui en fait un diagnostic délicat nécessitant une confirmation histologique.
Conclusion
Une exérèse chirurgicale a été décidé auprès d'un chirurgien vasculaire et l'analyse histologique confirme une tumeur de Masson.