Rachis
Epaule
Coude
Poignet
Main et doigts
Hanche et inguinal
Genou
Cheville
Pied
Muscle
Nerf
Parties molles
Interventionnel
RADIOSTEO.COM
RADIOSTEO.COM
  1. Accueil
  2. Pied
  3. Osteochondroses du pied

Osteochondroses du pied

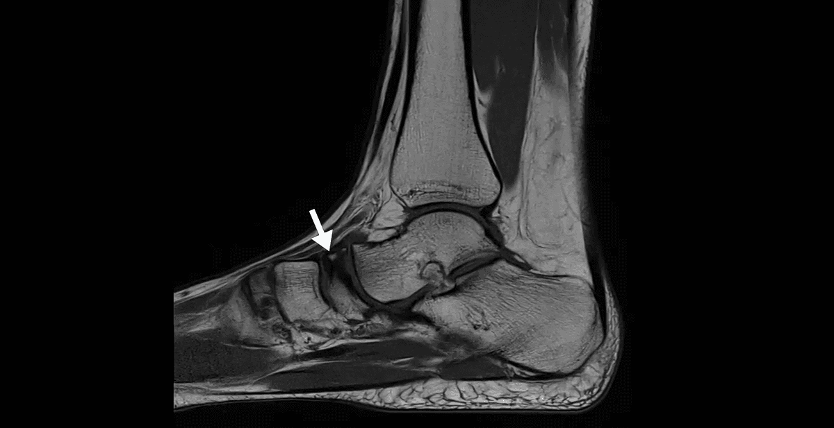
Ostéochondrose de Kohler
pied
Ostéochondrose de Kohler

Cas d'une maladie de Köhler, ostéochondrose rare de l'os naviculaire du pied.

MRI

CHPG - Centre Hospitalier Princesse GraceCHPGCIMM - Centre d'Imagerie Médicale de MonacoC.I.M.MCIMMCISM - Centre d'Imagerie du Sport de MonacoCISMIM2S - Institut Monégasque de Médecine et de SportIM2S