Rachis
Epaule
Coude
Poignet
Main et doigts
Hanche et inguinal
Genou
Cheville
Pied
Muscle
Nerf
Parties molles
Interventionnel
RADIOSTEO.COM
RADIOSTEO.COM
  1. Accueil
  2. Rachis
  3. Conflit disco radiculaire cervical

Conflit disco radiculaire cervical

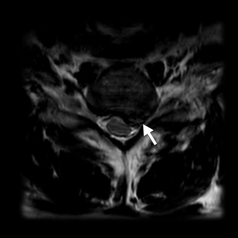
Conflit disco-radiculaire C7
rachis
Conflit disco-radiculaire C7

Souffrance radiculaire de la racine de C7 par une hernie discale

MRI

CHPG - Centre Hospitalier Princesse GraceCHPGCIMM - Centre d'Imagerie Médicale de MonacoC.I.M.MCIMMCISM - Centre d'Imagerie du Sport de MonacoCISMIM2S - Institut Monégasque de Médecine et de SportIM2S