
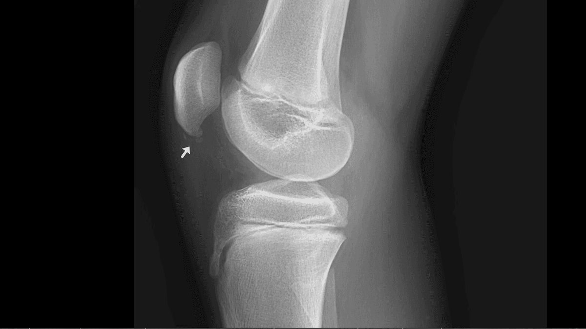
Ostéochondrose apophysaire proximale du tendon patellaire chez un adolescent de 15 ans pratique le basket.
RX

Gonalgie antérieure post traumatique traînante sans notion de pratique de sport de saut.
US

Basketteur professionnel asymptomatique, découverte fortuite d'une séquelle de "Jumper's Knee".
US

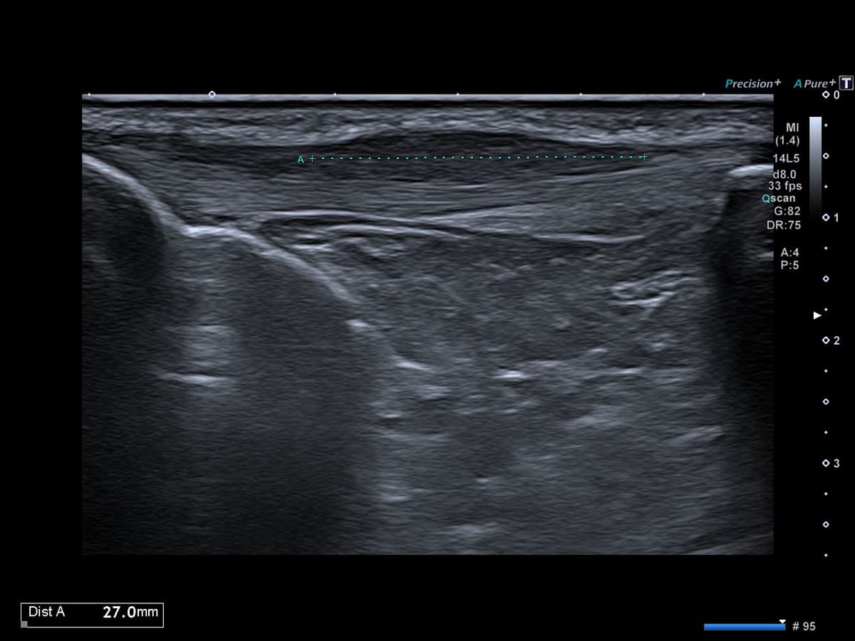
Gonalgie antérieure persistante à type de crise intermittente non prévisible ainsi que lors du passage en position accroupie.
US

Patient de 33 ans, douleurs antérieures chroniques avec gonflement. Aspect IRM d'une enthésopathie proximale du tendon patellaire.
MRI